Paciente masculino de 42 años acude al Instituto de Diagnóstico Maxilofacial (sede Miraflores) para evaluación generalizada.
Radiografia Panorámica
A la evaluación de la radiografía panorámica se evidencia reabsorción ósea alveolar bimaxilar, edéntulo parcial bimaxilar y presencia de múltiples implantes con prótesis sobre implantes así como tratamientos restaurativos. Siendo lo más destacado una molar retenida en cuerpo mandibular izquierdo, la cual esta mesioangulada.
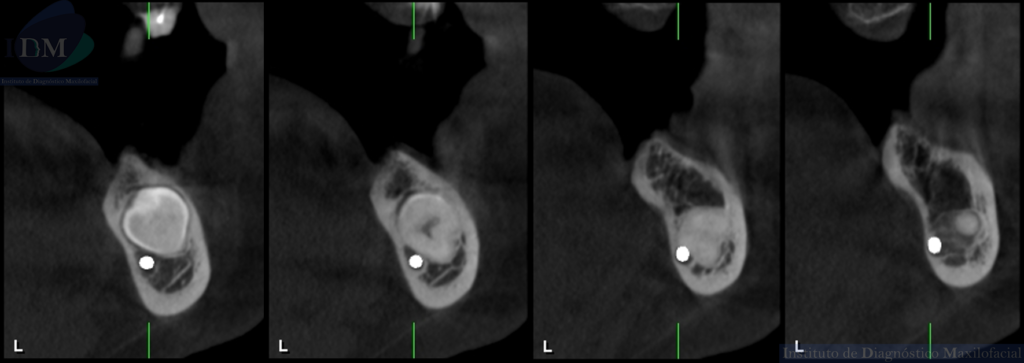
Siendo así que en la tomografía volumétrica de haz cónico se evidencia una hipercementosis radicular, con los segmentos radiculares contactando con el conducto dentario inferior. Finalmente se evidencia un borramiento del espacio del ligamento periodontal compatible con anquilosis dentaria.
CORTES TANGENCIALES
CORTES TRANSAXIALES
CORTES AXIALES
RECONSTRUCCIÓN 3D
Conclusión:
Anquilosis dentoalveolar
Paráfrasis:
La Anquilosis Dentoalveolar es una anomalía dental, en la cual se presenta perdida de continuidad del ligamento periodontal, lo que lleva a la unión del hueso alveolar con el cemento o la dentina. Esto impide el proceso eruptivo normal y el crecimiento vertical óseo del diente anquilosado, mientras que los dientes adyacentes siguen su proceso de erupción y crecimiento alveolar normal. Esta situación genera que el diente alterado esté por debajo del plano oclusal, dando la impresión de estar sumergido. La anquilosis es casi exclusiva de la dentición primaria y su prevalencia varía entre 1,3 y 8,9%, presentándose con mayor frecuencia en los primeros molares primarios inferiores. Su etiología exacta aun se desconoce, pero existen diferentes teorías acerca del origen de esta alteración, una de estas es el factor genético y la perturbación del metabolismo local del ligamento periodontal.
La presencia de anquilosis puede favorecer el desarrollo de diversas alteraciones en la dentición, como perdida de perímetro del arco, inclinación de dientes adyacentes, perdida de espacio y alteraciones de la masticación entre otras. Por esto es de gran importancia el diagnóstico clínico y radiográfico para la realización de un tratamiento oportuno para prevenir y minimizar el desequilibrio oclusal.
Bibliografía:
1.- Click aquí
2.- Click aquí

Dr. Eduardo Calle
Maestría en Odontología
Cirujano dentista especialista en Radiología Bucal y Maxilofacial. Actualmente es Miembro del Staff de Radiólogos del Instituto de Diagnóstico Maxilofacial- IDM. Además es docente del Pre y Posgrado de la Facultad de Odontología de la Universidad de San Martin de Porres.
Más información



