Paciente femenino de 22 años acude al Instituto de Diagnóstico Maxilofacial (sede Miraflores) para evaluación de senos paransales.
Radiografia Panorámica

A la evaluación de la radiografía panorámica se evidencia diastemas en sector dentario anterior con leve disminución generalizada de la longitud radicular.
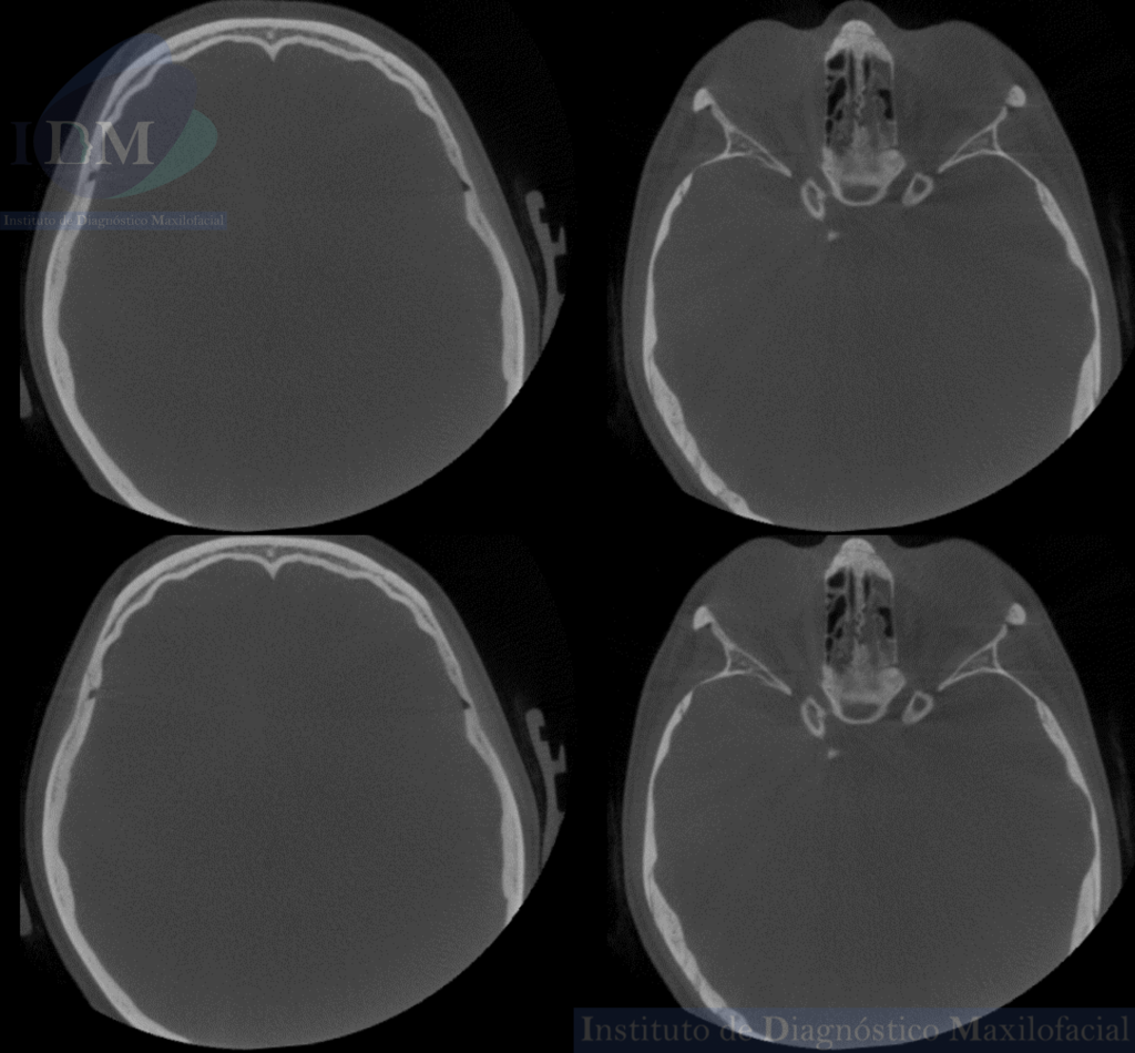
Así mismo en la tomografía volumétrica de haz cónico se evidencia un leve engrosamiento de la mucosa antral de senos paranasales. Siendo lo mas relevante la ausencia de seno esfenoidal en base de cráneo.
CORTES TANGENCIALES

CORTES CORONALES

CORTES AXIALES

RECONSTRUCCIÓN 3D

Conclusión:
Agenesia de seno esfenoidal.
Paráfrasis:
Debido a los tipos de variantes anatómicas, que por lo general son de neumatización, que se encuentran en el seno esfenoidal, estas relaciones anatómicas se hacen más o menos estrechas. La neumatización del seno esfenoidal es muy variable, tanto que puede extenderse a otras estructuras del hueso que normalmente no se encuentran neumatizadas, como son el ala del esfenoides, las apófisis clinoides anteriores y posteriores o apófisis pterigoides.
Esto hace, que las estructuras adyacentes al seno, como los distintos nervios de la vecindad, o la carótida, protruyan o no dentro del seno. Los tipos de neumatización del seno esfenoidal que podemos encontrar son de tres tipos, como lo habíamos ya mencionado. La neumatización Tipo I o Conchal, como ciertos autores la denominan consiste en una escasa neumatización del esfenoides, rodeada de hueso compacto, y sin que estructuras adyacentes hagan protruir su pared; generando por lo tanto bajo riesgo quirúrgico a la hora de abordar esta región. La neumatización Tipo II o preselar, es aquella en la cual la región anterior de la silla turca se puede apreciar en la pared posterior del seno y la neumatización Tipo III o 31 selar, es aquella que se extiende profundamente en el cuerpo del esfenoides e incluso hacia el clivus
Bibliografía:
1.- Click aquí
2.- Click aquí

Dr. Eduardo Calle
Maestría en Odontología
Cirujano dentista especialista en Radiología Bucal y Maxilofacial. Actualmente es Miembro del Staff de Radiólogos del Instituto de Diagnóstico Maxilofacial- IDM. Además es docente del Pre y Posgrado de la Facultad de Odontología de la Universidad de San Martin de Porres.
Más información