El «Área de contacto» es un término que se usa para denotar las alturas proximales del contorno de las superficies mesial y distal del diente.
Un contacto proximal firme, bien contorneado y bien colocado, es esencial para mantener la integridad de los arcos dentales y la salud. De las estructuras de soporte. Las áreas de contacto entre los molares primarios son más anchas, más planas y están situadas más gingivalmente que los puntos de contacto entre los molares permanentes. Esencialmente, las áreas de contacto proximales más amplias observadas en los dientes primarios probablemente aumenten la susceptibilidad de caries, ya que la acción de autolimpieza se reduciría debido al movimiento limitado, que conduce a una mayor acumulación de placa.
En resumen, los resultados en la literatura existente sobre los espacios interproximales y la susceptibilidad a la caries dental son controvertidos. Por lo tanto, una evaluación tridimensional y una clasificación de los contactos interproximales podrían facilitar una comprensión completa de la relación de las superficies adyacentes de los dientes en diferentes niveles, es decir, los tercios coronal, medio y apical. Según nuestro conocimiento, ningún estudio anterior ha investigado las formas tridimensionales de las áreas de contacto proximales en los dientes primarios. Por lo tanto, el presente estudio transversal se realizó para evaluar los tipos de áreas de contacto interproximales no cariosas de los molares primarios en niños que utilizan imágenes de tomografía computarizada de haz cónico (TCBC) existentes.
El objetivo del presente estudio fue evaluar los diferentes tipos de áreas de contacto interproximales intactas en los dientes primarios utilizando tomografía computarizada de haz cónico (CBCT) entre los niños.
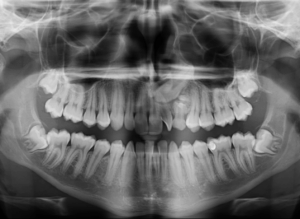
Por lo cual se diseñó un estudio transversal con 74 contactos de 28 imágenes CBCT existentes de niños de entre 3 y 14 años, obtenidos de la Academia de Educación Dental de la India, Chennai, India. La forma del área de contacto se observó en tres niveles, los tercios coronal, medio y apical, en tres secciones diferentes de CBCT. La prevalencia de los tipos de áreas de contacto se expresó en forma de números y porcentajes. Los resultados mostraron cuatro tipos diferentes de áreas de contacto entre los molares primarios, a saber, tipo O, tipo X, tipo I y tipo S, según las formas observadas; Por lo tanto, la clasificación propuesta se conoce como OXIS. El patrón más común observado fue I (66.2%), seguido de X (21.6%), O (9.4%) y el menos común fue S (2.7%). (Figura 1 y Figura 2)
Llegando a la conclusión que la evaluación tridimensional de las áreas intactas de contacto interproximal entre los molares primarios es de cuatro tipos, O, X, I y S.
Bibliografia:
- Kirthiga M, Muthu M, Kayalvizhi G, Krithika C, Proposed classification for interproximal contacs of primary molars using CBCT: a pilot study. Wellcome Open Res 2018; 3: 98
Enlace aquí
Dpto. de Investigación IDM




