Desde que Kells informó por primera vez sobre la utilidad de visualizar un alambre de plomo en un conducto radicular con un «radiograma» así como la longitud de un conducto radicular en 1899, la radiografía ha sido una herramienta fundamental en la práctica de la endodoncia.

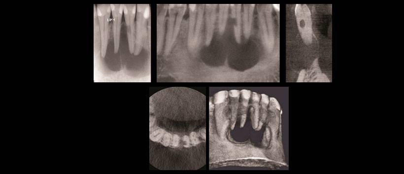
Figura 1: Tomografía volumétrica de haz cónico para la evaluación de resorción radicular interna y patología apical.
Casi un siglo después, aprovechando los esfuerzos pioneros de aquellos que utilizaron la tomografía computarizada (TC) convencional y micro CT, la introducción de CBCT maxilofacial en 1996 siempre ha sido considerada la primera aplicación de demostración tecnológica de imágenes en 3D para consideraciones endodónticas.
Si bien actualmente no hay una selección definitiva de criterios en pacientes para el uso de CBCT en endodoncia, el uso de CBCT en el diagnóstico endodóntico no debe ser evitado o ignorado. Uno de los autores (Martin D. Levin) es un endodoncista certificado con una práctica privada a tiempo completo utilizando el campo reducido de CBCT menciona que esta tecnología se ha utilizado para ayudar en el diagnóstico y facilitar el tratamiento en más de la mitad de todos los pacientes referidos a su práctica especialmente para la evaluación y el tratamiento de casos endodonticos en condiciones complejas. Sin embargo, debería haber una justificación de la exposición al paciente tal que los beneficios del diagnóstico son mayores a la radiación expuesta. Así mismo en este momento la CBCT no debe considerarse un reemplazo para el estándar digital de las aplicaciones radiográficas. Por el contrario, la CBCT es un complemento para aplicaciones específicas como:
- Morfología dentaria
- Patología periapical (Figura 1)
- Fractura radicular
- Reabsorciones radiculares (Figura 1)
- Monitoreo postoperatorio
La radiografía intraoral convencional brinda a los odontólogos una modalidad de imagen de alta resolución accesible y rentable que continúa siendo valioso en la terapia endodóntica. Sin embargo, hay situaciones específicas, tanto antes como después del tratamiento, donde la comprensión de las relaciones espaciales proporcionado por la CBCT facilita el diagnóstico e influye en el tratamiento. La utilidad de las imágenes mediante CBCT es una modalidad de imagen específica de tarea útil y una tecnología importante en la evaluación integral endodontica
1.- Enlace aquí
Dpto. de Investigación IDM



