El primer informe de foramenes accesoria se remonta a 1956 en un estudio antropológico en el que se describieron múltiples agujeros mentonianos, etmoidales e infraorbitales en la raza humana. El nervio alveolar inferior (IAN) atraviesa la mandíbula dentro del canal del nervio alveolar inferior (IANC) y tiene tres patrones anatómicos distintos a medida que finaliza: nervio mental (MN), asa anterior (AL) y nervio incisivo mandibular (MIN).

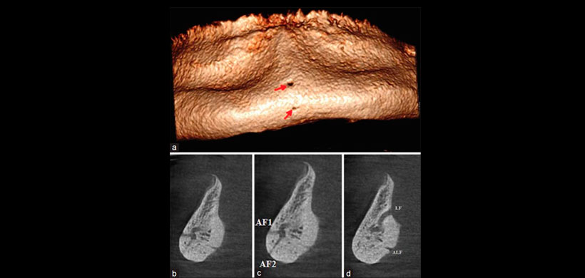
Figura 1: Vista frontal de la emergencia bucal del nervio incisivo en la mandíbula de la línea media (flechas),
(b-d) comunicaciones de los conductos de salida bucal y lingual (foramen lingual) del nervio incisivo y reconstrucción de tres cortes transversales continuos.
El MN puede ramificarse a troncos más pequeños antes de salir del foramen mental (MF), y puede dar lugar a un nervio mental accesorio (AMN). La extensión corta anterior intraósea de MN más allá de la MF se llama bucle anterior (AL). El canal incisivo mandibular (MIC) es la extensión intraósea del canal mandibular que casi termina en la región apical de los incisivos inferiores que emergen de un foramen lingual (LF). El MF puede variar ampliamente en incidencia, tamaño, número, ubicación, forma y dirección de apertura. Un foramen mentoniano único se encuentra principalmente entre la primera y la segunda raíces premolares o inferior al ápice del segundo premolar. La frecuencia informada de foramen lingual en la línea media es del 12.8-99.04% de los casos. Más del 80% del foramen o foramina lingual se podía encontrar entre los dos incisivos laterales. La mayoría de los casos son solos en número y se localizan por encima del tubérculo genial (72%), seguidos por forámenes linguales dobles (22%) y triples (4%), que aparecen en la superficie lingual de la mandíbula en el área interforaminal. Las tasas de ausencia reportadas son 0.96-4.5%. El foramen lingual es visible en el 28-49% de las radiografías periapicales. Diferentes vías de emergencia para MF con respecto a su punto de salida de IANC son las siguientes: posterior, ángulo recto, posterior superior, labial, mesial (anterior) y direcciones superiores. El aparato anatómico mandibular y neurovascular anterior puede documentarse mediante hallazgos quirúrgicos intraoperatorios, radiografías convencionales (por ejemplo, vistas periapicales y panorámicas), imágenes por resonancia magnética (IRM), tomografía computarizada (TC) y TC con haz cónico (CBCT).
El presente caso es de un paciente de 60 años en sínfisis mental desde el lado lingual, el cual reveló dos LF con dos aperturas adicionales (Figura 1). Uno de ellos estaba ubicado en el lado bucal y el otro en el borde inferior de la sínfisis. El historial dental fue significativo para la periodontitis avanzada y la pérdida ósea severa, y ambos usaron dentadura completa durante varios años. Ambas adquisiciones de imágenes se realizaron con un dispositivo CBCT (Cranex 3D, Soredex, Finlandia) en un modo de alta resolución con más reconstrucción multiplanar utilizando el software «Ondemand3D».
La presencia de un canal accesorio influye en el diagnóstico diferencial con otras lesiones patológicas radiotransparentes, la eficacia de la anestesia local, los daños iatrogénicos intraoperatorios y la posibilidad de metástasis. Por lo tanto, conocer estos canales es de suma importancia en todos los diagnósticos , plan de tratamiento y aspectos de pronóstico
Autores: CD. Eduardo Calle Velezmoro, Mg. Esp. Andrés Agurto Huerta



