Los granulomas y quistes periradiculares son las lesiones más frecuentes y su incidencia combinada es superior al 90% . La presencia de esta entidad puede afectar el éxito del tratamiento del conducto radicular.
Se ha sugerido que los quistes pues regresiones después de los tratamientos de conductos debido a su asociación con el sistema de conducto radicular infectado. Por otro lado los quistes verdaderos están separados completamente del conducto radicular, se cree que son autosostenidos y tal vez sean menos propensos a cicatrizarse solo con terapia de conducto radicular no quirúrgica.

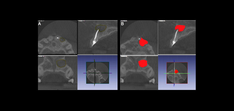
El análisis por tomografía computarizada por haz de cono (CBCT) permite la evaluación tridimensional de lesiones perirradiculares y puede facilitar el tratamiento de quistes periapicales.
El propósito de este estudio fue desarrollar y evaluar la validez predictiva de un análisis volumétrico de los quistes periapicales basado en CBCT solo o combinado con criterios radiológicos designados. ( Figura 1)
Para lo cual tres examinadores independientes evaluaron 118 escáneres CBCT prequirúrgicos de casos que se sometieron a apicectomías y tenían un diagnóstico estándar histopatológico de un quiste o granuloma. El volumen de la lesión, la densidad y las características radiológicas específicas se evaluaron utilizando software especializado.
Cabe resaltar que en el presente estudio existían seis criterios que indicaban el diagnóstico diferencial de un quiste periapical, el cual fue publicado el 2015 por el autor Guo et al. mediante CBCT. Los cuales fueron los siguientes:
- Situado en el ápice del diente involucrado (situado en el ápice)
- Presencia de cortical y borde bien definida
- Forma curva o circular (forma curvada)
- Estructura central radiolúcida
- Desplazamiento radicular y / o reabsorción de los dientes adyacentes (raíz desplazamiento)
- Perforación de las tablas óseas
Obteniendo como resultado de que si el volumen de la lesión era mayor a 247 mm3, había un 80% de probabilidad de que sea un quiste. Si el volumen era <247 mm3 y el desplazamiento de la raíz estaba presente, la probabilidad de que sea quiste era del 60%.
Figura 1: Tomografía volumétrica de quiste periapical.
Referencia: Enlace aquí
Autores: C.D. Eduardo Calle Velezmoro. Mg. Esp. Andrés Agurto Huerta



