Las perlas de esmalte son depósitos ectópicos de esmalte que están situados en la zona de la furcación o cerca de la unión cemento adamantina. En general, se observan con mayor frecuencia en los molares, en particular los superiores. Estos aparecen como pequeños glóbulos de esmalte firmemente adheridos a la superficie de la raíz del diente y como como nódulos internos radiopacos bien definidos de formas circulares que se extienden desde la dentina esmalte a la dentina coronal subyacente.
Estas perlas de esmalte son estructuras anatómicas que pueden tener implicaciones clínicas si se asocia con la retención de placa que podría prevenir el acceso periodontal y predisponen el área a la formación de bolsas y la formación de enfermedad periodontal.
El presente caso relata un paciente de sexo femenino de de 42 años con odontalgia severa. Sin antecedentes médicos significativos. Un examen intraoral reveló un deterioro distal en la primera molar mandibular izquierda, con sensibilidad a la percusión y la palpación de la zona perirradicular, se encontró una bolsa periodontal profunda en la zona vestibular.
Las pruebas de vitalidad fueron negativas. Debido a eso se optó por adquirir una radiografía periapical revelando una radiolucides alrededor del ápice mesial. (Figura1)
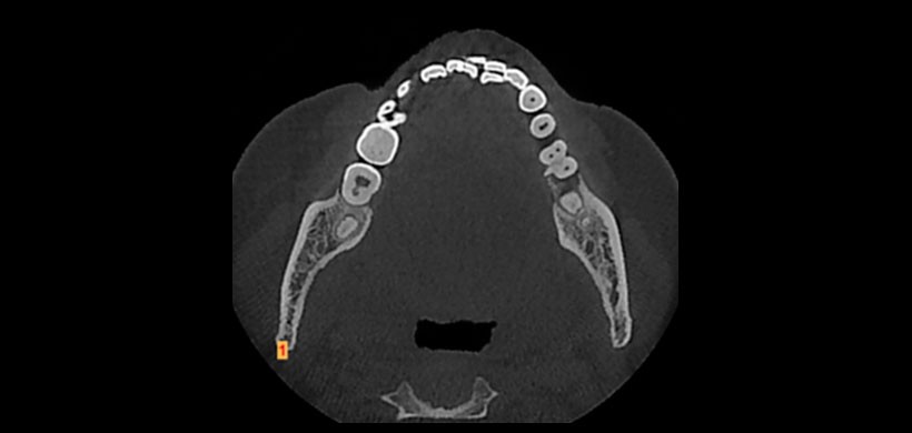
Al realizarse la tomografía computarizada de haz cónico detectó una una estructura de densidad dentaria en el área de furcación con una forma esferoide alargada de 1,8 mm de ancho y 8 mm de largo. (Figura 2)
La perla del esmalte descrita en este relato de caso es como una raíz dental muy larga cónica y es en estos casos donde la tomografía volumétrica de haz cónico puede utilizarse para su evaluación y más aún cuando es necesario algún tipo de decisión respecto al tipo de tratamiento a realizarse.
Así mismo cabe mencionar que el diagnóstico de la perla del esmalte es clínico imagenológico sin embargo un corte histológico seria la manera definitiva para respaldar el diagnostico obtenido de manera clínico imagenológica.
- Mao X. Root – like enamel pearl: a case report. Journal of Medical Case Reports. 2014; 8: 248
Enlace aquí
Autor: CD Eduardo Calle Velezmoro, MG Esp Andrés Agurto Huerta




