El quiste odontogénico ortoqueratinizado (QOO) es una variante poco común de los quistes del desarrollo dental. Philipsen (1956) introdujo el térmico queratoquiste odontogénico reportando 7 casos, de los cuales 2 presentaban ortoqueratina en su lumen y al menos uno de los casos se encontraba revestido por un epitelio ortoqueratinizado, motivo por el cual los demás autores continuaron clasificándolo como un queratoquiste odontogénico. Su incidencia es mayor en hombres que en mujeres con una edad de afectación entre la segunda y cuarta década de la vida en promedio 35.4 años. Tiene predilección por la región molar, siendo la localización mandibular la más habitual.
El origen de esta lesión ha sido un tema de discusión, ya que muchos estudios reflejan que el QOO y el tumor odontogénico ortoqueratinizado provienen de restos de la lámina dental.
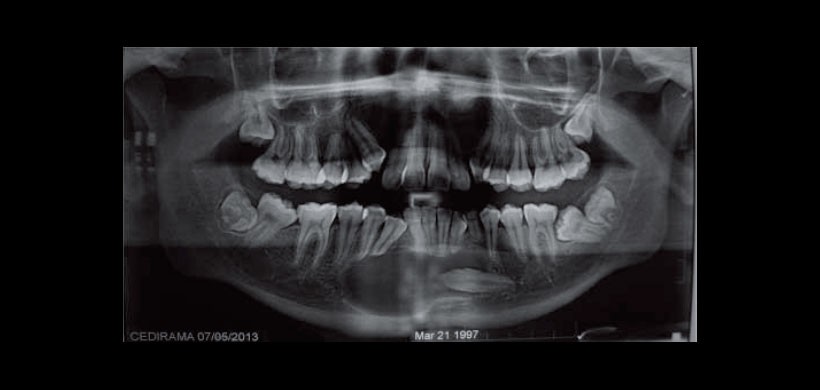
El presente reporte es de un paciente masculino de 15 años de edad, presenta retención de órganos dentales de la primera dentición. Durante el examen clínico intraoral presenta dentición permanente incompleta con malposición dental y presencia de canino inferior derecho deciduo, adecuada coloración e hidratación de las mucosas orales, discreto aumento de volumen en vestíbulo de la región mentoniana con sintomatología dolorosa durante la palpación del mismo, de bordes mal definidos que van desde la zona de canino inferior derecho hasta el contralateral. Motivo por el cual se decide solicitar al paciente ortopantomografía en la cual se observa una imagen radiolúcida de bordes bien delimitados, unilocular, misma que rodea a un órgano dental incluido correspondiente a canino inferior izquierdo permanente, presenta desplazamiento radicular de canino inferior derecho, borde mandibular íntegro (Figura 1). Se decide realizar BAAF de la lesión obteniendo un líquido amarillo, pastoso, espeso, coleccionando aproximadamente 4 cm3, el cual es colocado en laminillas realizando un frotis y para llevarlo a estudio citológico (Figura 2).
Obteniendo como diagnostico final quiste odontogénico ortoqueratinizado.
Es imprescindible tener un buen diagnóstico por biopsia incisional antes de realizar cualquier procedimiento o sobretratar nuestra patología, mejorando así el pronóstico y recuperación de nuestros pacientes.
Autores: CD Eduardo Calle y Mg Esp Andrés Agurto Huerta




