Las fisuras dentarias se han convertido en la tercera causa más grande de la pérdida de dientes después de caries dental y enfermedad periodontal.
Las fisuras del esmalte no tienen síntomas obvios, y los pacientes a menudo no acuden al dentista. La mayoría de los pacientes con fisuras que acuden a un dentista lo hacen mientras presentan pulpitis y/o periodontitis periapical. Esto crea un gran desafío para diseñar un plan de tratamiento adecuado.
Cuando la fisura está solamente en el esmalte o dentina superficial, los dientes pueden ser asintomáticos o presentar sólo hipersensibilidad a la dentina a estímulos fríos, dulces y agrios. Pero si hay pulpitis dental o periodontitis periapical, la fisura puede alcanzar las capas dentinarias profundas o invadir la cavidad pulpar. Por lo tanto el diagnóstico y/o la intervención temprana es mas probable que tenga un pronóstico favorable.
El objetivo de este estudio fue investigar la extensión de una fisura en una pieza dentaria mediante el uso de radiografía periapical (PR) y tomografía computarizada de haz cónico (CBCT) in vitro.
Para lo cual se utilizaron cuarenta y cuatro dientes con diferentes extensiones fisuras artificiales, creadas por exposición al nitrógeno líquido y después de agua caliente a 100 ° C. Posteriormente fueron sometidos a PR y CBCT. (Figura 1)
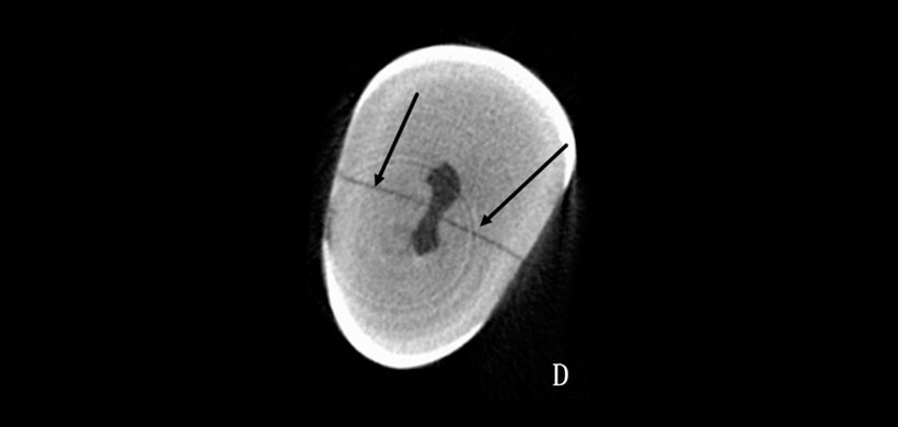
Para medir y registrar la profundidad de a grieta, se utilizó la microtomgrafia computarizada (miicro-CT), considerada como un examen relativamente más preciso que otros. La observaciones fueron realizadas por tres observadores, un estudiante graduado de endodoncia, un endodoncista y un radiólogo experimentado respectivamente, examinaron los resultados de PR y CBCT independientemente, y la presencia o ausencia de fisuras respectivamente. (Figura 2)
Obteniendo como resultado que dentro de las limitaciones de este estudio, en un modelo de simulación artificial de dientes con fisuras, se recomienda que sea mejor que un diente con fisura sea diagnosticado mediante la tomografía volumétrica de haz cónico.
Referencia: Enlace aquí
Autor: CD Eduardo Calle Velezmoro, Mg Esp Andrés Agurto Huerta




