Paciente femenino, 13 años de edad, es referido al Instituto de Diagnóstico Maxilofacial – IDM (Sede Miraflores) para evaluación tomográfica por aumento de volumen a nivel vestibular en las zonas de las piezas 46 y 47.
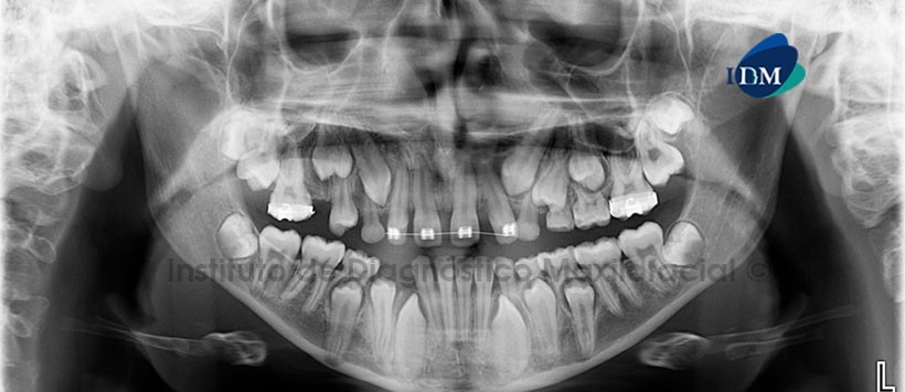
En la radiografía panorámica (Figura 1) se observa rarefacción a nivel de furcación de la pieza 47 que ocasiona la pérdida de lámina dura. Se aprecia además alteración en la morfología coronal de la pieza 1.8.
A la evaluación de la tomografía volumétrica (CBCT) en cortes axiales (Figura 2), transaxiales (Figura 3, 4) y tangenciales (Figura 5), se evidencia presencia de imagen hipodensa localizada a nivel de la cara vestibular de la pieza 4.7 que presenta las siguientes características: Bordes definidos, corticalizados, expande tabla ósea vestibular en aparente relación con la zona de furcación, de aproximadamente un 1cm de diámetro y 1cm3 de volumen (Figura 6).
En las reconstrucciones 3D se observa la lesión osteolítica con las características antes descritas (Figura 7 y 8)
Conclusión: Imágenes sugerente de lesión benigna a descartar quiste bucal de la bifurcación.
Paráfrasis
El Quiste bucal de la bifurcación es un quiste odontogénico inflamatorio raro de etiología desconocida. En 1983 Stoneman y Worth publicaron un artículo titulado “the mandibular infected bucal cyst- molar area” y describen las características clínicas, radiológicas e histológicas de la lesión quística que aparece en la zona de primer y segundo molares inferiores. Más recientemente se ha propuesto un nombre que la describa mejor: “quiste bucal de la bifurcación” (Pompura et al, 1997; David et al., 1998).
Se desarrolla típicamente en el aspecto bucal del primer molar permanente mandibular y ocasionalmente en el segundo molar permanente mandibular en niños de 4 a 14 años. Distintos hallazgos clínicos incluyen la afectación de un primer o segundo molar de la parte inferior o mandibular vital o parcial, la hinchazón en la región molar mandibular afectada, el patrón de erupción retrasada o alterada del diente implicado y un aumento de la profundidad periodontal cuando el diente afectado está parcialmente erupcionado. Las características radiográficas específicas incluyen una lesión radiolúcida la zona bucal del diente que implica a las raíces en una extensión variable, inclinación del molar implicado de modo que los ápices de la raíz están hacia la tabla ósea lingual, un espacio del ligamento periodontal intacto y una lámina dura, una reacción del periostio sobre la superficie bucal y un borde inferior intacto de la mandíbula.
Referencias:
- Levarket et al. Surgical Management of the Buccal Bifurcation Cyst: Bone Grafting as a Treatment Adjunct to Enucleation and Curettage. J Oral Maxillofac Surg 2014; 72:1966-1973.
Enlace aquí - Martínez, et al. Quiste bucal mandibular infectado y quiste paradental ¿Cual es la diferencia? Rev. Fac. de Odon. UBA 2012; 28(63): 6-9.
Enlace aquí - Pompura, Julia R et al. The buccal bifurcation cyst. Oral Surgery, Oral Medicine, Oral Pathology, Oral Radiology and Endodontics 2015; 83(2): 215 – 221.
Enlace aquí.
Autores: CD. Luis Alberto Cueva Príncipe, Mg. Esp. Andrés Agurto Huerta










