Paciente femenino, 55 años de edad, es referido al Instituto de Diagnóstico Maxilofacial (IDM) para evaluación tomográfica de la pieza 2.6 que se encuentra en tratamiento de conductos y presenta sangrado intracameral.
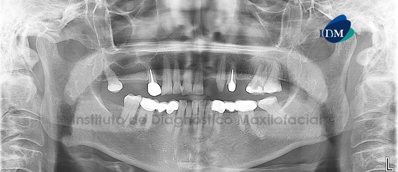
En la radiografía panorámica (Figura 1) se aprecia neumatización alveolar de senos maxilares, edéntula parcial bimaxilar, piezas con tratamientos de conductos, y tratamiento de prótesis fija. A nivel de la pieza 2.6 se aprecia material de restauración coronal, asociado a procesos osteolítico periapical.
A la evaluación de la tomografía volumétrica de campo pequeño para la pieza 2.6 (CBCT) en cortes axiales (Figura 2), transaxiales (Figura 3) y tangenciales (Figura 4), se evidencia perforación de piso cameral en furca entre las raices mesial y distal asociado a un procesos osteolítico pararadicular con compromiso de furca y que ocasiona la erosión de la tabla ósea vestibular a nivel del tercio apical de la raiz mesial.
En las reconstrucciones 3D se observa claramente lo antes descrito (Figura 5, 6, 7 y 8)
Conclusión: Falsa vía en furcación de la pieza 2.6
Paráfrasis
El tratamiento de conductos, está asociado con circunstancias ocasionales indeseadas e imprevistas, que se denominan de manera colectiva accidentes de procedimiento.
Los accidentes durante la terapia endodóntica pueden definirse como aquellos sucesos infortunados que ocurren durante el tratamiento, algunos de ellos por una falta de atención y otros por ser totalmente imprevisibles. La clasificación propuesta por Ingle de los percances endodónticos, incluye a los relacionados con la instrumentación, dentro de los cuales están las perforaciones en la porción cervical del conducto y los percances que se presentan relacionados con la obturación, entre las cuales están las obturaciones de los conductos radiculares sobreextendidas o subextendidas. Una perforación o falsa vía es la comunicación artificial entre la cámara o el sistema de conductos radiculares a los tejidos de soporte de los dientes o hacía la cavidad oral.
La perforación directa por lo regular se presenta durante la investigación del conducto, es más un defecto de «punción» en la bifurcación con la fresa.
Lasala nos señala algunas normas para evitar las perforaciones:
- Conocer la anatomía pulpar del diente a tratar, el correcto acceso a la cámara y las pautas para el empleo de los instrumentos.
- Tener criterio posicional, tridimensional y perfecta visibilidad.
- Tener cuidado en conductos estrechos en el paso instrumental del 25 al 30, momento propicio para una perforación.
- No emplear instrumentos rotatorios sino en casos indicados y conductos anchos.
Referencias:
- Terrazas RTA, et al. Accidentes de procedimiento endodóntico. Revista Odontológica Mexicana 2011;15 (3): 183-188
Enlace aquí - Calle D, Alcaraz D, Fernandez S. Obturación de perforaciones radiculares. Revista CES Odontología 2001; 14(1): 65-74.
Enlace aquí - Aguilar-Ayala, et al. Tratamiento con MTA en molar temporal con perforación en furca y reabsorción radicular. Rev Odontol Latinoam, 2011;3(2):55-58
Enlace aquí
Autores: Cd. Luis Alberto Cueva Príncipe, Mg. Esp. Andrés Agurto Huerta










