Paciente masculino, 17 años de edad, es referido al Instituto de Diagnostico Maxilofacial (IDM) para evaluación general.
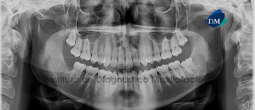
A la evaluación de la radiografía panorámica, se aprecia una imagen radiolúcida unilocular de límites definidos y bordes no corticalizados, localizado en la sínfisis mandibular a nivel apical de las piezas antero-inferiores, extendiéndose hacia el reborde basal mandibular (Figura 1). Se decide ampliar el estudio por medio de una tomografía volumétrica (CBCT), para una mejor visualización de la posible lesión.
A la evaluación de la CBCT, en cortes axiales (Figura 2), transaxiales (Figura 3) y tangenciales (Figura 4) se observa una lesión osteolítica en la región antes mencionada comprometiendo el segmento radicular apical de las piezas 3.2, 3.1, 4.1, 4.2 y 4.3, sin embargo no ocasiona las reabsorción radicular. La lesión ocasiona un leve desplazamiento y adelgazamiento de las tablas óseas a predominio de la tabla vestibular donde se aprecia zonas de erosión. Imágenes sugerentes de lesión benigna.
En las reconstrucciones 3D (Figura 5 y 6), se aprecia claramente el defecto óseo y su relación con las estructuras adyacentes.
Conclusión: Defecto óseo traumático a nivel de la sínfisis mandibular.
Paráfrasis
El Defecto Óseo Traumático (DOT), constituye alrededor del 1% de todas las lesiones quísticas de los maxilares; ha recibido diversos nombres que tratan de explicar la naturaleza controvertida que posee, dentro de los cuales se encuentran: quiste óseo traumático, cavidad ósea, quiste óseo solitario, quiste hemorrágico y quiste óseo unicameral. Estos diferentes nombres indican que la etiopatogenia subyacente no está bien definida. Podemos decir que no corresponde a un quiste verdadero sino a un pseudoquiste o a un defecto óseo que se puede encontrar tanto en los maxilares como en los huesos largos del cuerpo y se caracteriza por la ausencia de epitelio de revestimiento.
Clínica
La mayoría de las lesiones casi siempre son asintomáticas y es infrecuente observar un abombamiento de las tablas óseas o asimetría facial. Las piezas dentarias involucradas se presentan vitales o pueden presentar una sensibilidad disminuida.
Radiología
El Defecto Óseo Traumático da una imagen de radiolucidez irregular, bien circunscrita, no corticalizada y de tamaño variable. La mayoría de las veces unilocular, aunque también es posible encontrar la variedad multilocular y por lo tanto, se debe establecer el diagnóstico diferencial con un Queratoquiste.
Tratamiento
En cuanto al tratamiento, podemos decir que es de tipo exploratorio y generalmente basado en la realización de una biopsia confirmatoria del diagnóstico. En aquellos casos que existe una certeza de su diagnóstico, se mantiene una conducta expectante en relación con su resolución.
Referencias:
- Montero S, Basili A, Castellon L, Montini C. Quiste Óseo Traumático. Revista Dental de Chile 2002; 93 (2): 6-8.
Enlace aquí - Kumar N D, Sherubin J E, Raman U, Shettar S. Solitary bone cyst. Indian J Dent Res 2011;22:172-
Enlace aquí - Patnaik A, Mahapatra AK. Giant asymptomatic mastoid pneumocele producing a scalp swelling: A rare case report. Surgical Neurology International. 2014;5:126. doi:10.4103/2152-7806.138517.
Enlace aquí
Autores: C.D Luis Alberto Cueva, Mg. Esp. Andrés Agurto Huerta








