Paciente Masculino, 19 años de edad, es referido al Instituto de Diagnóstico Maxilofacial (IDM) por la ausencia clínica de las segundas molares permanentes inferiores.
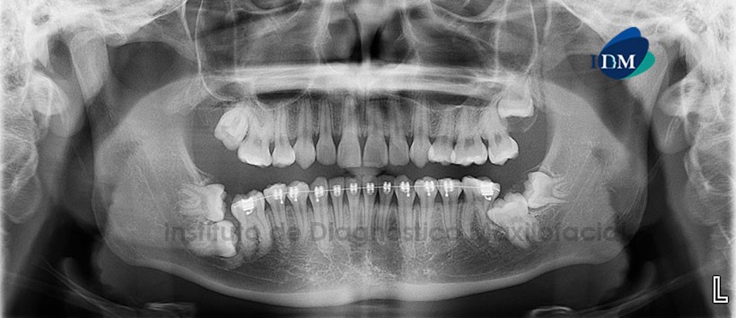
A la evaluación de la radiografía panorámica (Figura 1) se aprecia: Pieza 1.7 en posición buco palatina; Pieza 3.8 en posición horizontal e impactada contra la superficie distal de la corona de la pieza 3.7; así mismo se observa a la pieza 3.7 en posición mesioangular e impactada contra la superficie cervico-distal de la pieza 3.6, aparentemente ocasionando la reabsorción radicular de ésta última; Por otro lado se observa la superposición de los ápices sobre el conducto dentario inferior. Pieza 4.7 en posición horizontal e impactada sobre la superficie distal-radicular de la pieza 4.6; con el segmento radicular superpuesto sobre el conducto dentario inferior, así mismo se aprecia a la pieza 4.8 en posición horizontal y en posición cefálica con respecto a la pieza 4.7. Se aprecia, además aparatología fija para ortodoncia en las piezas inferiores. Para una mejor evaluación de la posición de las piezas impactadas y los efectos sobre estructuras adyacentes que puedan haber ocasionado, se decide realizar una ampliación con la tomografía volumétrica (CBCT).
A la evaluación de la CBCT en cortes axiales (Figura 2), transaxiales (Figura 3 y 4) y tangenciales (Figura 5 y 6), se evidencia: la raiz mesial de la pieza 3.8 se encuentra en estrecha relación con la cortical superior del conducto dentario inferior. Se evidencia tambien el segmento apical de la pieza 3.7 en contacto con la cortical superior del conducto dentario inferior; así mismo se descarta la aparente reabsorción radicular visualizada en la radiografía panorámica, con la corona proxim hacia la tabla ósea lingual. Pieza 4.7 intraósea, segmentos radiculares en estrecha relacion con el conducto dentario inferior que a su vez se encuentra en contacto con la tabla ósea lingual. Adicionalmente se aprecia en el maxilar superior a la pieza 1.7 próximo hacia la tabla ósea palatina.
En las reconstrucciones 3D se observa de manera representativa la impactación de las segundas y terceras molares inferiores y su relación con el conducto dentario inferior (Figura 7)
Conclusión: Anomalía de la erupción dentaria de las piezas 1.7, 3.8, 3.7, 4.7, 4.8.
Paráfrasis
La impactación de los segundos molares inferiores es una complicación de la erupción dentaria muy infrecuente, dado que su incidencia se cifra de un 0,03 a un 0,21 %. Se ha detectado en mayor frecuencia de forma unilateral que bilateral y es más usual en mandíbula que en maxilar. Presenta una ligera predicción por el sexo masculino, y la inclinación mesial es la más habitual. La impactación de un segundo molar inferior puede producir problemas estéticos, masticatorios y de estabilidad en el arco dentario, amén de facilitar la aparición de caries en la cara distal del primer molar inferior. La principal causa es la discrepancia oseodentaria, viéndose agravada, la impactación, por el desarrollo del tercer molar.
Según la clasificación de Andreasen y Kurol, la falta de erupción del segundo molar inferior se puede clasificar en tres supuestos:
Impactación: causada por un obstáculo físico, fundamentalmente la falta de espacio, que puede dar lugar a la colisión de los folículos del segundo y el tercer molar. De hecho, la erupción ectópica con inclinación mesial del segundo molar, la más frecuente, está muy relacionado con el apiñamiento dentario anterior. También puede estar causada por otros obstáculos; dientes supernumerarios, odontomas, tumores odontogénicos o fibromatosis de células gigantes en la línea de erupción.
Retención primaria (erupción detenida antes de la ruptura de la encía): en la mayoría de los casos son debidas a una causa desconocida. En el resto de situaciones se relaciona con síndromes en los que la actividad osteoclástica está comprometida.
Retención secundaría (cese de la erupción tras la ruptura gingival, sin presencia de obstáculo físico): es más frecuente que la retención primaria y está causada por una pequeña área de anquilosis, sobre todo en la zona interradicular. En la aparición de dicha anquilosis se han discutido la influencia de factores genéticos y factores sistémicos .
Referencias:
- García M, Torres D, González M, Gutiérrez JL. Cirugía de rescate (reubicación quirúrgica) en segundos molares inferiores impactados. Med. oral patol. oral cir. bucal 2005 ; 10( 5 ): 448-453.
Enlace aquí - Guzmán MM y cols. Paralelización de segundo molar inferior retenido. Revista Mexicana de Ortodoncia 2015;3 (2): 99-104
Enlace aquí - Sandoval P, Bizcar B. Probabilidad de retención de segundos molares permanentes mandibulares (Estudio piloto). Odontoestomatología 2014 ; 16( 24 ): 39-44.
Enlace aquí
Autor: C.D Luis Alberto Cueva, Mg. Esp. Andrés Agurto









