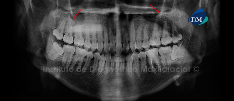
Paciente femenino de 20 años de edad que es referida para la evaluación de las piezas dentarias 14 y 15; por presentar dolor a la palpación a nivel de la tabla ósea bucal de la región de las piezas antes mencionadas. Sin embargo, en la radiografía panorámica no se evidencia cambios de la morfología habitual de la zona de interés. Por otro lado, llama la atención la presencia de imágenes de radiodensidad cálcica y de forma irregular, proyectadas sobre las paredes basales de los senos maxilares compatibles con Antrolitos (Fig. 1).
La tomografía computarizada de haz cónico; mediante los cortes coronales, sagitales y axiales; muestra claramente la distribución de estos hallazgos (antrolitos) en las paredes basales y laterales de los senos maxilares; además de su proximidad a los ápices radiculares. (Fig. 2, 3 y 4).
El software Romexis nos brinda diferentes opciones de reconstrucción 3D, como por ejemplo la opción tejido blando; que es de mucha ayuda para la evaluación de esta entidad (Fig. 5).
Paráfrasis
El seno maxilar se empieza a desarrollar a las diez semanas de vida intrauterina como una evaginación de las fosas nasales que invade sus paredes laterales y se adentra en ellas. El seno maxilar desciende durante la duodécima semana, hacia adelante y atrás. El desarrollo del seno maxilar está íntimamente relacionado con el desarrollo dental, ya que dentro de este se forman los dientes molares temporales y posteriormente los dientes premolares y molares permanentes.
Los antrolitos son formaciones calcificadas que se encuentran en los senos maxilares, suelen deberse a la calcificación de masas de moco estancadas en lugares de inflamación previa. Los antrolitos más pequeños son asintomáticos, pero si siguen creciendo pueden ocasionar una sinusitis asociada y producir síntomas como exudado nasal o dolor facial. Estudios relatan su posible asociación con cuadros de aspergillosis a nivel de los senos maxilares.
Las calcificaciones en tejidos blandos de la región bucomaxilofacial son comúnmente observados en las distintas técnica de imagen del campo estomatológico. A la evaluación radiográfica, los antrolitos se encuentran proyectados sobre la pared basal del seno maxilar, tienen límites definidos, con forma lisa o irregular; en su interior pueden observarse imágenes radiopacas desde imperceptibles hasta muy marcadas, homogéneas o no, que en algunos casos adoptan formas de láminas radiopacas.
Referencias
- Herrera R, Agurto A, Díaz L, Gonzales H. Radiología digital en la evaluación de calcificaciones en tejidos blandos. Kiru. 2012; 9(2):161-166.
Enlace aquí - Neto O, Freitas JMR, Goulart RM. Revisão de literatura: casos de antrolito, sialolito e tonsilolito. Uningá Review. 2014; 18(3): 26-31.
Enlace aquí - Briceño JF, Estrada JH. Elevación de piso del seno maxilar: consideraciones anatómicas y clínicas. Revisión de la literatura. Univ Odontol. 2012; 31(67): 27-55.
Enlace aquí
Autor: CD. Esp. Raúl Herrera Mujica, Mg. CD Esp. Andrés Agurto Huerta







