Paciente femenino, 49 años de edad, es referido al Instituto de Diagnostico Maxilofacial (IDM) para evaluación pos tratamiento de conductos en pieza 4.6.
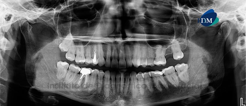
A la evaluación de la radiografía panorámica, se aprecia aplanamiento del contorno de los cóndilos mandibulares, neumatización alveolar de los senos maxilares con presencia de antrolito en el seno maxilar izquierdo. En la pieza 4.6 se observa corona protésica, espigo intrarradicular y material de obturación de conductos con proceso osteolítico periapical. (Figura 1).
A la evaluación de la tomografía volumétrica (CBCT) en cortes axiales (Figura 2), transaxiales (Figura 3) y tangenciales (Figura 4) Proceso osteolítico perirradicular de limites difusos que compromete reborde alveolar de las piezas 4.5, 4.6 y 4.7 con aumento de la densidad ósea circundante sugestiva de Osteomielitis Esclerosante Focal.
En las reconstrucciones 3D (Figura 5 y 6), se aprecia claramente lo antes descrito así como el compromiso de estructuras adyacentes.
Conclusión: Signos sugerentes de OSTEOMIELITIS ESCLEROSANTE FOCAL
Paráfrasis
La osteomielitis esclerosante se considera como una osteomielitis crónica primaria consistente en un proceso inflamatorio, doloroso y prolongado en el tiempo. Afecta a la mandíbula y es generalmente unilateral, compromete hueso basal y alveolar, y se localiza al nivel de cuerpo, ángulo, rama e incluso cóndilo. La causa es aún controversial, ya que algunos le atribuyen un origen infeccioso, mientras otros lo consideran una condición no infecciosa, como producto de sobrecargas o asociado con síndrome SAPHO (sinovitis, acné, pustulosis, hiperostosis y osteítis), pero la literatura no es concluyente. Con respecto al tratamiento, al igual que su causa, no está totalmente esclarecido y se describen a lo largo del tiempo distintas alternativas, que van desde lo conservador a lo más radical.
Esta condición inflamatoria puede presentarse como un proceso agudo o crónico, local o difuso, con reacción periostal u osteolítica, y otras. Estas múltiples manifestaciones han generado a través del tiempo diversas clasificaciones, dentro las cuales podemos encontrar a la osteomielitis dividida en supurativa y no supurativa.
Se manifiesta frecuentemente en adultos, en la tercera década y aproximadamente dos tercios de los afectados son mujeres.
En el territorio maxilofacial, su causa es generalmente de origen bacteriana. Esta infección puede nacer de un foco contiguo o bien por diseminación vía hematógena, la cual es más común en huesos largos que en mandíbula. Los focos contiguos son generalmente de origen pulpar o periodontal, y en segundo lugar de origen traumático, sobre todo en caso de fracturas compuestas.
Referencias:
- Creo T y cols. Tratamiento de la osteomielitis esclerosante difusa con roxitromicina a largo plazo: a propósito de un caso. Rev Esp Cirug Oral y Maxilofac, 2005; 27(6): 368-374.
Enlace aquí - Conte Neto, N y cols. Osteomielitis Crónica con Periostitis Proliferativa. Int. J. Odontostoma 2013; 7(1): 5-10,
Enlace aquí - Wintergerst FA y cols. Osteomielitis crónica maxilar. Informe de 4 casos clínicos. Revista Odontológica Mexicana 2012; 16 (2): 105-111
Enlace aquí
Autor: Mg. Esp. Andrés Agurto Huerta








