Paciente femenino, 36 años de edad es referido al Instituto de Diagnóstico Maxilofacial (IDM) para evaluación posquirúrgica de seno maxilar derecho.
A la evaluación de la tomografía espiral multicorte (TEM) de diagnóstico, se evidenció la presencia moderada hipertrofia de cornetes inferiores, con concha bulosa bilateral. Así mismo se observa un contenido de densidad isodensa en la totalidad de seno maxilar derecho la cual a su vez presentaba calcificaciones internas. (Figura 1)
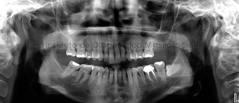
En la radiografía panorámica de control posqurirugica (ortopantomografía) se visualiza de manera parcial el cornete inferior de lado derecho, neumatizacion alveolar de ambos senos maxilares, ausencia de piezas dentarias, pieza 36 (material de obturación, espigo y corona protésica), pieza 38 impactada mesioangulada y la presencia de un diente supernumerario proyectado entre las porciones radiculares de las pieza 24 y 25. (Figura 2)
A la evaluación de la tomografía volumétrica (CBCT) en los cortes axiales (Figura 3), coronales (Figura 4) y sagital (Figura 5), se evidencia una disminución en el contenido isodenso del seno maxilar derecho, así como también la presencia de tejido fibroso en los meatos medio e inferior y finalmente no se visualiza el cornete inferior derecho.
En los cortes transaxiales notamos que no existe una íntima relación entre las piezas dentarias que están próximas al seno maxilar derecho, lo cual nos indica que el engrosamiento mucoso no fue de origen odontogénico. (Figura 6)
El software Romexis nos brinda diferentes tipos de opciones en cuanto a reconstrucciones 3D (Figura 7-9), donde se observa de manera ilustrativa la repercusión del contenido sinusal posoperatorio en relación a las estructuras adyacentes.
Conclusión: Sinusitis de origen micotica
Paráfrasis:
Las infecciones micóticas en fosas y senos se debe a estados de inmunodeficiencia como: SIDA, inmunosupresión secundaria al tratamiento de enfermedades hematológicas (leucemias, linfomas) o en pacientes trasplantados y aumento de susceptibilidad en pacientes diabéticos.
Los géneros más frecuentes son: aspergillus, mucor, rhizopus, paracoccidioides, crytococuss, blastomyces, histoplasma y rhinosporidium..
El diagnóstico se basa en la sospecha clínica en los pacientes de riesgo, en la clínica típica, en las pruebas de imagen (TC y CBCT) y en la confirmación histológica mediante biopsia.
Referencias:
- Guillen V, Herrera A, Urbano J, Falcon R, Sanchez A y Sanches F. “Sinusitis fúngica crónica invasiva del seno maxilar por aspergillus ” Revista Portuguesa de Otorrinolaringología y cirugía cervico –facial.2008, 46 (2): 115 – 119
Enlace aquí - Pradillos A, Gonzales J, Martinez X, Mareque J, Raspall G, Umbert H. “Aspergiliosis simulado cuerpo extraño intrasinusal” Rev Esp Cir Oral Maxilofac 2006, 28 (2): 127 – 130
Enlace aquí
Autor: CD Eduardo Calle Velezmoro y Mg. Esp. Andrés Agurto Huerta











