Paciente femenina de 36 años, es referido al Instituto de Diagnóstico Maxilofacial – IDM (Sede Surco) para evaluación de pieza 46 con tratamiento endodóntico.
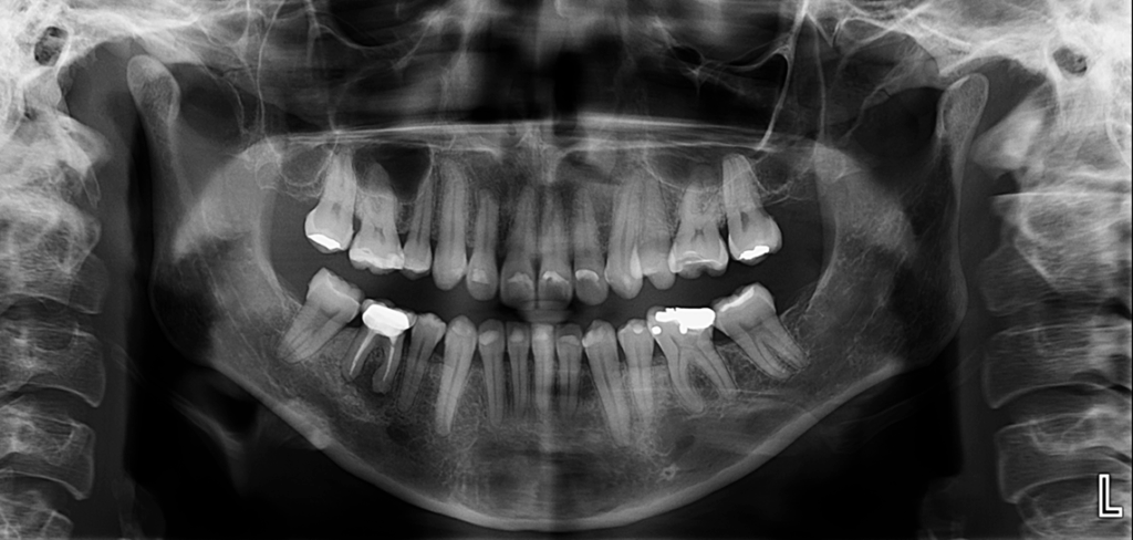
Radiografia Panorámica
En la radiografía panorámica se evidencian múltiples restauraciones coronarias, así como presencia de placa cervical mineralizada de forma generalizada.
En relación con la pieza 46, se observa tratamiento endodóntico, hipercementosis y un proceso osteolítico periapical, que presenta un aumento de la densidad ósea circundante.
En el estudio complementario mediante tomografía computarizada de haz cónico (TCHC), se confirma que la raíz mesial presenta obturación únicamente del conducto mesiolingual, el cual se encuentra subextendido. El conducto mesiovestibular se visualiza obliterado hasta el tercio medio y atrésico en el tercio apical. El proceso osteolítico periapical presenta morfología curva, con bordes parcialmente corticalizados, y produce adelgazamiento de la tabla ósea vestibular adyacente.
Además, se identifica un patrón de esclerosis ósea circundante, con predominio en el sector distal.
CORTES AXIALES
CORTES TRANSAXIALES
CORTES TANGENCIALES
RECONSTRUCCIÓN 3D
Conclusión imagenológica:
- Granuloma apical en pieza 46.
Paráfrasis
Los granulomas periapicales representan aproximadamente el 50% de todas las lesiones periapicales. Se trata de lesiones inflamatorias crónicas que se desarrollan alrededor del ápice radicular como respuesta a una infección dental persistente, y pueden manifestarse en dos formas histológicas distintas: epitelizadas y no epitelizadas. Los granulomas periapicales epitelizados, que constituyen el 45% de
todos los casos, se caracterizan por la presencia de un revestimiento epitelial en su interior, el cual puede originarse a partir de restos de la vaina radicular epitelial de Hertwig o del epitelio periodontal. Esta componente epitelial se ha asociado con un mayor riesgo de transformación en quistes periapicales. En contraste, los granulomas periapicales no epitelizados, que comprenden el 55% restante, carecen de epitelio y están compuestos principalmente por un infiltrado inflamatorio crónico, formado por linfocitos y células plasmáticas. Esta variante se considera de menor riesgo para progresar a quistes periapicales en comparación con la forma epitelizada (1).
Los granulomas periapicales, desde el punto de vista histopatológico, consisten en tejido granulomatoso, infiltrado celular inflamatorio y una cápsula fibrosa.
Imagenológicamente, se caracterizan por la ausencia de bordes corticalizados y una morfología de contorno curvo en la lesión (2).
Es importante destacar que ningún signo radiológico aislado permite confirmar un diagnóstico específico. Sin embargo, la integración de múltiples hallazgos imagenológicos, en conjunto con la evaluación clínica, puede aproximar de manera confiable al diagnóstico más preciso, facilitando así la elección del tratamiento más adecuado. El uso de tecnología avanzada en radiología, aplicada por profesionales capacitados, mejora significativamente la precisión diagnóstica.
Bibliografía:
- Alzahrani O, Komo H, Howait M. Healing and Spontaneous Realignment of Displaced Roots With Periapical Granuloma After Microsurgical Endodontic Treatment (Three Years' Follow-up): A Case Report. Cureus. 2024 Jan 10;16(1):e52020. doi: 10.7759/cureus.52020.
- 2. Etöz M, Amuk M, Avcı F, Yabacı A. Investigation of the effectiveness of CBCT and gray scale values in the differential diagnosis of apical cysts and granulomas. Oral Radiol. 2021 Jan;37(1):109-117. doi: 10.1007/s11282-020-00459-6.

Dr. Kevin Fernando Huamaní Bendezú
Maestría en Estomatología
Cirujano dentista especialista en Radiología Bucal y Maxilofacial de la Universidad Peruana Cayetano Heredia. Actualmente miembro del Staff de Radiólogos del Instituto de Diagnóstico Maxilofacial - IDM. Además, docente de Radiología Bucal y Maxilofacial en la Universidad Peruana de Ciencias Aplicadas.
Más información



