Paciente masculino de 17 años, es referido al Instituto de Diagnóstico Maxilofacial – IDM (Sede Surco) para evaluación del retraso de erupción de la pieza 33.
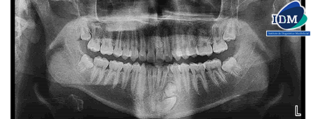
Radiografia Panorámica
En la radiografía panorámica se observan imágenes radiopacas de densidad dentaria proyectadas sobre la pieza 21 y entre las raíces de las piezas 34 y 32. La persistencia de la pieza 73 y la localización ectópica de la pieza 33.
En el estudio complementario mediante tomografía computarizada de haz cónico (TCHC), se identifica una pieza dentaria supernumeraria (M) en posición palatina con respecto a la raíz de la pieza 21. La corona de esta estructura se encuentra en contacto directo con la superficie radicular de la pieza 21, como se evidencia en los cortes transaxiales.
Asimismo, en el maxilar inferior se observa una imagen hiperdensa (OD) de densidad dentaria delimitada por un halo isodenso, ubicada entre las raíces de las piezas 34 y 32, que se extiende hacia las regiones linguales de las piezas 35 y 42.
Esta lesión ocasiona la impactación de la pieza 33 y genera expansión de la cortical ósea vestibular.
Finalmente, se identifica la presencia de una raíz adicional vestibular (RP) en la raíz mesial de la pieza 37; y una raíz adicional lingual (RE) en la pieza 46, la cual presenta una dilaceración radicular.
CORTES AXIALES
CORTES TRANSAXIALES
CORTES CORONALES
RECONSTRUCCIÓN 3D
Conclusión imagenológica:
- Pieza supernumeraria en línea media del maxilar superior (mesiodens).
- Odontoma en región canina inferior izquierda.
- Raíz adicional (radix paramolaris) en pieza 37.
- Raíz adicional (radix entomolaris) en pieza 46.
Paráfrasis
Los mesiodens suplementarios presentan una morfología y dimensiones similares a los dientes naturales, mientras que los mesiodens rudimentarios se distinguen por su forma atípica y tamaño reducido. El mesiodens, típicamente localizado entre los incisivos centrales superiores, constituye la forma más común de diente supernumerario. Suele provocar un retraso en la erupción de los dientes permanentes, alteración en la posición dentaria y reabsorción radicular de los dientes adyacentes, entre otras complicaciones (1).
Los odontomas son malformaciones hamartomatosas del desarrollo de comportamiento no agresivo, originadas a partir de células epiteliales y mesenquimatosas completamente diferenciadas que dan lugar a ameloblastos y odontoblastos funcionales. Frecuentemente se identifican como hallazgos radiográficos incidentales; sin embargo, en ocasiones pueden alcanzar dimensiones
considerables que generan asimetría facial o interfieren con la erupción y alineación
dentaria. El diagnóstico se establece principalmente mediante la correlación de hallazgos clínicos y radiográficos (2).
En cuanto a los molares mandibulares permanentes, estos suelen presentar dos raíces principales (mesial y distal); no obstante, se han documentado variaciones anatómicas en el número de raíces. Las denominaciones radix entomolaris y radix paramolaris hacen referencia a raíces supernumerarias ubicadas en la cara lingual y bucal de las raíces principales, respectivamente. Su detección puede verse limitada en radiografías periapicales debido a la superposición bucolingual con las raíces convencionales. Cuando estas variantes no son identificadas, existe un riesgo elevado de omitir conductos radiculares, lo que compromete el éxito del tratamiento endodóntico (3).
La presencia simultánea de estas anomalías dentales subraya la necesidad de una evaluación especializada por parte de un profesional en radiología bucal y maxilofacial.
Un diagnóstico preciso y oportuno permite identificar alteraciones que, de pasar desapercibidas, pueden generar complicaciones clínicas como retención dentaria, fallas en la terapia endodóntica o desequilibrio oclusal. La interpretación adecuada de
estudios de imagen avanzados, como la tomografía computarizada de haz cónico, resulta esencial para planificar un manejo integral y evitar consecuencias a largo plazo.
Bibliografía:
- Hemnani G, Pankey N, Chandak M, Yeluri R, Sontakke PD, Dhanrajani HS. Anterior Maxillary Mesiodens Extraction in a Young Adult Male: A Case Report. Cureus. 2024;16(7):e64208. doi: 10.7759/cureus.64208.
- Ram H, Sundaram E, Katrolia R, Gupta R. Huge complex composite odontoma of mandible. BMJ Case Rep. 2023;16(5):e254948. doi: 10.1136/bcr-2023-254948.
- Štamfelj I, Hitij T, Strmšek L. Radix entomolaris and radix paramolaris: A cone-beam computed tomography study of permanent mandibular molars in a large sample from Slovenia. Arch Oral Biol. 2024;157:105842. doi: 10.1016/j.archoralbio.2023.105842.

Dr. Kevin Fernando Huamaní Bendezú
Maestría en Estomatología
Cirujano dentista especialista en Radiología Bucal y Maxilofacial de la Universidad Peruana Cayetano Heredia. Actualmente miembro del Staff de Radiólogos del Instituto de Diagnóstico Maxilofacial - IDM. Además, docente de Radiología Bucal y Maxilofacial en la Universidad Peruana de Ciencias Aplicadas.
Más información



