Paciente femenina de 77 años de edad acude al Instituto de Diagnóstico Maxilofacial – IDM (surco) para evaluación imagenológica.
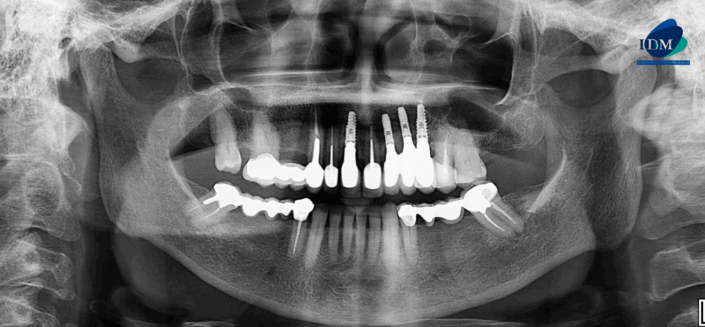
En la radiografía panorámica (Figura 1), se observa edentulismo parcial, múltiples restauraciones protésicas e implantes dentales. Además de un aumento de la densidad ósea en zona de paladar.
Radiografia Panorámica
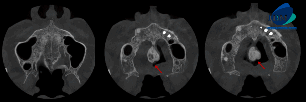
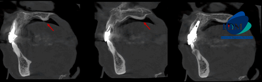
A la evaluación de la tomografía volumétrica (cone beam) bimaxilar en los cortes axiales (Figura 2) y transaxiales (Figura 3) se observa imagen hiperdensa de densidad ósea y forma bilobular localizada en en zona de paladar duro a nivel de línea media
CORTES AXIALES
CORTES SAGITALES
CORTES TANGENCIALES
En la reconstrucción 3D se representa la reabsorción de la pieza 38 (Figura 4)
RECONSTRUCCIÓN 3D
Conclusión imagenológica:
- Torus palatino
Paráfrasis
El torus palatino (TP) es una exostosis unilocular o multilocular que se presenta en la línea media del paladar duro (1,2) siendo generalmente asintomática y puede variar considerablemente en tamaño y forma (2). Su etiología aún no está completamente establecida. Las teorías sobre el desarrollo del TP incluyen rasgos genéticos, factores ambientales o incluso una teoría multifactorial (1,2). La prevalencia varia de 2 -67% (2).
El TP se identifica con frecuencia en la tomografía cone beam (TCBC) resultando muchas veces un hallazgo incidental, donde se presenta como una protuberancia ósea con una densidad similar a la del hueso compacto (1).
Bibliografía:
- El Achkar VN, Lopes SL, Pinto AS, do Prado RF, Kaminagakura E. Imaging Aspects of Palatal Torus in Cone Beam Computed Tomography and Magnetic Resonance: Case Report. Acta Stomatol Croat. 2016;50(4):359-64. doi: 10.15644/asc50/4/10. URL
- El Sergani AM, Anderton J, Brandebura S, Obniski M, Ginart MT, Padilla C, Butali A, et al. Prevalence of Torus Palatinus and association with dental arch shape in a multi-ethnic cohort. Homo. 2020;71(4):273-80. doi: 10.1127/homo/2020/1316. URL

Dra. Faride Milagros Cornejo Pinto
Especialista en radiología bucal y maxilofacial
Cirujano Dentista especialista en Radiología Bucal y Maxilofacial de la Universidad Peruana Cayetano Heredia. Actualmente miembro del Staff de Radiólogos del Instituto de Diagnostico Maxilofacial - IDM
Más información



