Paciente femenina de 22 años de edad acude al instituto de Diagnóstico maxilofacial – IDM (Sede Surco) para evaluación imagenológica de terceras molares.
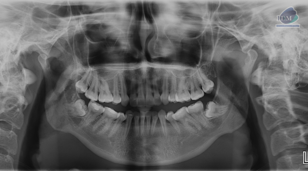
En la radiografía panorámica (Figura 1), se observa piezas 38 y 48 mesioanguladas e impactadas contra la superficie radicular distal de las piezas 37 y 47 respectivamente.
Radiografia Panorámica
A la evaluación de la tomografía volumétrica (cone beam) en los cortes axiales (Figura 2) y transaxiales (Figura 3) se observó como hallazgo incidental la presencia de una imagen isodensa homogénea, limites definidos a nivel de la zona media de maxilar inferior, que se extendía desde pieza 33 a 43 que ocasionaba un defecto óseo en tabla vestibular de zona de piezas 33 y 43.
CORTES AXIALES
CORTES TRANSAXIALES
En la reconstrucción 3D se representa el implante de mentón (Figura 4).
RECONSTRUCCIÓN 3D
Conclusión imagenológica:
- Cuerpo extraño (implante de mentón).
Parafrisis
Los odontólogos suelen tener una experiencia mínima con los cuerpos extraños derivados de la cirugía estética y pueden tener dificultades para diagnosticar el problema subyacente. Es por ello que se debe conocer los tipos de cuerpos extraños derivados de la cirugía estética que pueden encontrar al analizar imágenes de la región maxilofacial, así como las características de imagen de dichos cuerpos extraños.
El aumento del mentón puede realizarse con inyectables, implantes o genioplastia ósea. Los implantes mandibulares de silicona se utilizan con frecuencia en cirugía estética para resaltar la armonía facial. Suelen encontrarse como hallazgo incidental y observarse de forma semiesférica lisa con una densidad uniforme.
Bibliografía:
- Hisatomi M, Takeshita Y, Yanagi Y, Okada S, Fujikura M, Yoshida S, Kawazu T, Asaumi J. Imaging characteristics of
incidentally detected cosmetic surgery-derived foreign bodies on CT images in the maxillofacial region. Oral Radiol. 2024 Apr;40(2):277-284. doi: 10.1007/s11282-023-00734-2. URL - Hisatomi M, Takeshita Y, Yanagi Y, Okada S, Fujikura M, Yoshida S, Kawazu T, Asaumi J. Imaging characteristics of incidentally detected cosmetic surgery-derived foreign bodies on CT images in the maxillofacial region. Oral Radiol. 2024 Apr;40(2):277-284. doi: 10.1007/s11282-023-00734-2. URL

Dra. Faride Milagros Cornejo Pinto
Especialista en radiología bucal y maxilofacial
Cirujano Dentista especialista en Radiología Bucal y Maxilofacial de la Universidad Peruana Cayetano Heredia. Actualmente miembro del Staff de Radiólogos del Instituto de Diagnostico Maxilofacial - IDM
Más información



