Paciente masculino de 52 años, es referido al Instituto de Diagnóstico Maxilofacial –IDM (Sede Surco) para evaluación de dolor en segundo cuadrante.
Radiografia Panorámica

En la radiografía panorámica se observan imágenes radiopacas proyectadas en las ramas ascendentes y región de vía aérea adyacente, compatibles con tonsilolitos. A nivel del segundo cuadrante se observa una pieza supernumeraria proyectada sobre las raíces de las
piezas 27 y 28.
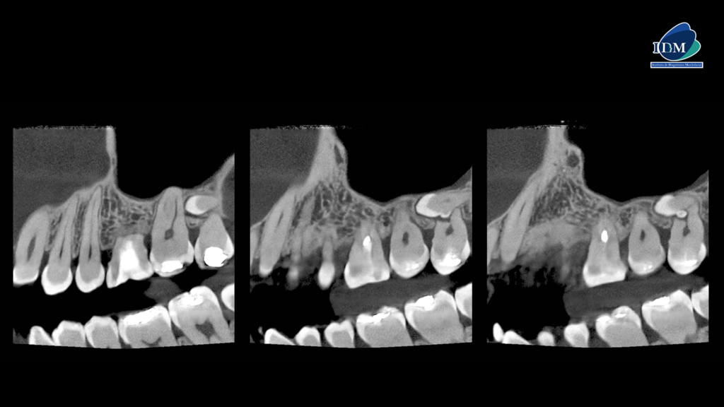
En el estudio ampliado mediante tomografía computarizada de haz cónico (TCHC), se observa una pieza dentaria supernumeraria localizada en posición vestibular respecto a la raíz de la pieza 28. La corona de esta pieza supernumeraria está en contacto con la raíz distovestibular de la pieza 27, según se aprecia en los cortes axiales. Asimismo, se identifica una anomalía de desarrollo en dicha pieza supernumeraria, compatible con perla del esmalte en su región cervical, la cual está asociada con reabsorción radicular externa de la pieza 28, observada en los cortes tangenciales y transaxiales.
CORTES AXIALES

CORTES TANGENCIALES

RECONSTRUCCIÓN 3D

Conclusión imagenológica:
- Molar supernumerario (paramolar) con perla del esmalte.
- Reabsorción radicular externa de la pieza 28.
Parafrisis
Los dientes supernumerarios, también conocidos como hiperdoncia, son una anomalía odontoestomatológica que se define como la presencia de cualquier diente o estructura dental que exceda el número habitual de 20 dientes temporales y 32 permanentes. Estos dientes adicionales se clasifican según su posición en el arco dental o su morfología. Entre las variaciones posicionales comunes se encuentran los mesiodens, paramolares, distomolares y parapremolares. Un paramolar es un molar supernumerario, generalmente pequeño y rudimentario, que suele localizarse en posición vestibular o palatina respecto a uno de los molares superiores (1).
La reabsorción dental se define como una pérdida progresiva y crónica de la estructura dental causada por la actividad de células especializadas, conocidas como odontoclastos. Existen dos tipos principales de reabsorción: fisiológica y patológica. La reabsorción patológica que inicia en la superficie radicular o, en ocasiones, en la corona del diente, se denomina reabsorción externa. Las principales causas de la reabsorción radicular externa incluyen inflamación periapical, reimplantación dental, quistes, tumores, fuerzas mecánicas u oclusales excesivas, dientes impactados y casos de reabsorción idiopática (2). La TCHC es una herramienta diagnóstica precisa para evaluar los dientes supernumerarios, permitiendo visualizar detalladamente su relación con las estructuras adyacentes y las posibles alteraciones que puedan causar. Esta técnica proporciona imágenes tridimensionales de alta resolución, esenciales para la planificación de un manejo adecuado y seguro de estas piezas. La evaluación imagenológica a temprana edad es fundamental para identificar dientes supernumerarios antes de que generen complicaciones significativas, permitiendo así una intervención oportuna que minimice el riesgo de alteraciones en la erupción, alineación y desarrollo de los dientes permanentes, además de prevenir problemas ortodónticos y otras patologías asociadas.
Bibliografía:
- Nayak G, Shetty S, Singh I, Pitalia D. Paramolar – A supernumerary molar: A case report and an overview. Dent Res J (Isfahan). 2012;9(6):797-803.
- Murali RV, Gnanashanmugam K, Rajasekar L, Kularashmi BS, Saravanan B. A rare case of impacted supernumerary premolar causing resorption of mandibular first molar. J Pharm Bioallied Sci. 2015;7(1):S309-13. doi: 10.4103/0975-7406.155971.

Dr. Kevin Fernando Huamaní Bendezú
Maestría en Estomatología
Cirujano dentista especialista en Radiología Bucal y Maxilofacial de la Universidad Peruana Cayetano Heredia. Actualmente miembro del Staff de Radiólogos del Instituto de Diagnóstico Maxilofacial - IDM. Además, docente de Radiología Bucal y Maxilofacial en la Universidad Peruana de Ciencias Aplicadas.
Más información