Paciente masculino de 54 años, es referido al Instituto de Diagnóstico Maxilofacial – IDM (Sede Surco) para evaluación de dolor leve de largo tiempo en el lado izquierdo de la mandíbula.
Radiografia Panorámica

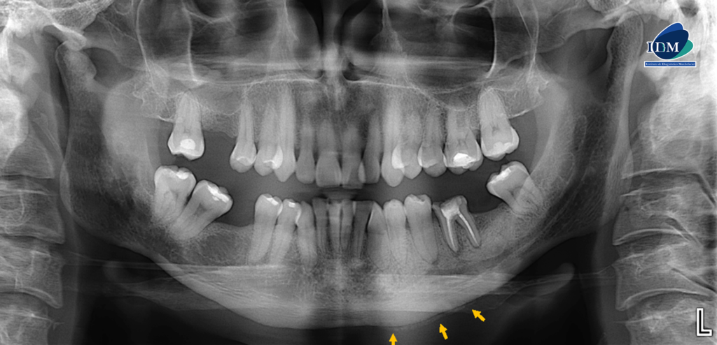
En la radiografía panorámica se observa la pieza 36 con material restaurador coronario, obturación de conductos, proceso osteolítico periapical, acompañado de un aumento de la densidad ósea circundante que parece extenderse mesialmente hasta la pieza 34 y distalmente hasta la zona de la pieza 37, ocasionando el resalte del conducto dentario inferior y del agujero mentoniano izquierdo, el cual está proyectado sobre el ápice de la pieza 35. Además, se observa una reacción ósea perióstica en la basal mandibular adyacente a la zona afectada.
En el estudio complementario mediante tomografía computarizada de haz cónico (TCHC), se confirma la presencia de una reacción ósea perióstica que afecta la tabla ósea vestibular, la basal mandibular y, parcialmente, la tabla ósea lingual en su región caudal (cortes axiales, tangenciales y transaxiales). En las piezas dentarias, se observa una obturación parcial de los conductos y procesos osteolíticos periapicales en la pieza 36 (cortes transaxiales).
Además, se identifica un ensanchamiento del espacio del ligamento periodontal en la región periapical de la pieza 35 (cortes transaxiales).
CORTES AXIALES

CORTES TANGENCIALES

RECONSTRUCCIÓN 3D

Conclusión imagenológica:
- Osteomielitis mandibular crónica.
Parafrisis
La osteomielitis de los maxilares afecta predominantemente la mandíbula, en contraste con su menor frecuencia en el maxilar, lo cual se debe a la mayor vascularización y la delgada corticalidad del maxilar superior que lo hace menos susceptible a esta infección. En la mandíbula, la osteomielitis suele iniciar en la porción medular del hueso, propagándose progresivamente hacia los sistemas de Havers y el periostio. Esta patología, esencialmente una infección del tejido óseo, es tiene mayor incidencia en hombres y puede presentarse en un amplio rango etario (1).
La reacción ósea perióstica es una respuesta del hueso cortical ante diversas agresiones. Comprender los tipos y subcategorías de estas reacciones periósticas permite a los clínicos reconocer patrones específicos y responder de manera más efectiva. Estas reacciones se clasifican según la naturaleza y rapidez de su progresión. Radiográficamente, las reacciones periósticas suelen detectarse incidentalmente cuando el paciente presenta signos y síntomas clínicos de origen odontogénico o no odontogénico. Su identificación en radiografías es ocasionalmente desafiante debido a su naturaleza tenue y a la afectación de áreas limitadas (2).
La osteomielitis es una patología poco común en la práctica de cirugía bucal y maxilofacial, que representa un desafío tanto diagnóstico como terapéutico para el clínico. La detección tardía de esta infección puede alargar significativamente el curso del tratamiento y aumentar la morbilidad asociada. Por ello, resulta fundamental identificar la osteomielitis en sus estadios iniciales, mediante un manejo interdisciplinario con el radiólogo bucal y maxilofacial, entrenado para detectar signos radiográficos tempranos que pueden pasar desapercibidos en evaluaciones convencionales.
Bibliografía:
- Koorbusch GF, Deatherage JR, Curé JK. How can we diagnose and treat osteomyelitis of the jaws as early as possible? Oral Maxillofac Surg Clin North Am. 2011 Nov;23(4):557-67. doi: 10.1016/j.coms.2011.07.011.
- Jalali P, Riccobono J, Augsburger RA, Tahmasbi-Arashlow M. Radiographic patterns of periosteal bone reactions associated with endodontic lesions. Restor Dent Endod. 2023 Jun 8;48(3):e23. doi: 10.5395/rde.2023.48.e23.

Dr. Kevin Fernando Huamaní Bendezú
Maestría en Estomatología
Cirujano dentista especialista en Radiología Bucal y Maxilofacial de la Universidad Peruana Cayetano Heredia. Actualmente miembro del Staff de Radiólogos del Instituto de Diagnóstico Maxilofacial - IDM. Además, docente de Radiología Bucal y Maxilofacial en la Universidad Peruana de Ciencias Aplicadas.
Más información