Paciente masculino, 10 años de edad es referido al Instituto de Diagnóstico Maxilofacial (IDM) para realizar un estudio de la zona ántero superior debido a la no erupción de dos piezas dentarias.
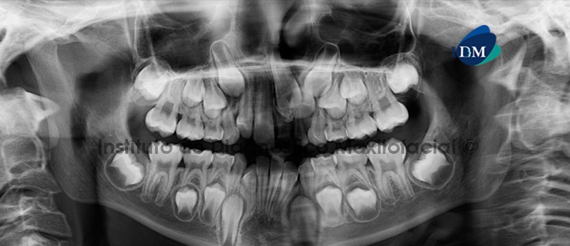
A la evaluación de la radiografía panorámica (Figura 1), observamos la presencia de una imagen radiopaca de densidad dentaria localizada en el reborde alveolar correspondiente a las piezas 2.1 y 2.1, condicionando la impactación de dichas piezas
Se realiza estudio de tomografía computarizada de haz cónico (CBCT) con campo (FOV) reducido para disminuir la dosis de radiación en el paciente pediátrico.
En el estudio tomográfico mediante cortes axiales, transaxiales y tangenciales (Figura 2, 3, 4), se aprecia claramente la presencia de varios dentículos de diferente forma y tamaño agrupados en la zona alveolar, próximas a la tabla palatina evitando la correcta erupción de las piezas 2.1 y 2.2, que se encuentran orientadas hacia vestibular. No ocasiona reabsorción de las piezas involucradas, así mismo se evidencia la persistencia de las piezas 6.1 y 6.2.
En las reconstrucciones 3D, se evidencia claramente lo antes descrito y su relación con estructuras adyacentes, con lo que se confirma la presunción diagnóstica de odontoma compuesto. (Figuras 5 y 6)
Paráfrasis
El término «odontoma» fue introducido en 1867 por Broca. Es una neoplasia benigna mixta (HAMARTOMA) de origen odontógeno, es decir, es una lesión de células odontogénicas epiteliales y mesenquimatosas, completamente diferenciadas y que forman esmalte, dentina y cemento. Es decir una alteración del desarrollo o malformación y que se disponen más o menos organizadas dependiendo del grado de alteración en la morfodiferenciación de las células odontogénicas.
Según la clasificación de la OMS se reconocen dos tipos de odontomas
- Compuesto: malformación en la cual están representados todos los tejidos dentarios con un patrón de distribución ordenado; la lesión consta de muchas estructuras similares a los dientes denominadas dentículos.
- Complejo; malformación en la cual están representados todos los tejidos dentarios pero con un patrón de distribución desordenado. Los odontomas compuestos suelen ser lesiones uniloculares radiopacas y múltiples, que pueden contener pocas (2 a3) o muchas (20 a 30) estructuras análogas a dientes en miniatura.
Respecto a la localización, la mayoría se sitúan en el área de incisivos y caninos del maxilar superior, seguida por las zonas ántero inferior y póstero inferior, de acuerdo a la literatura, los de tipo complejo tienen mayor predilección por las zonas de segundos y terceros molares inferiores.
Los odontomas son un hallazgo radiográfico durante un examen de rutina, se confirman con un estudio histológico en un laboratorio especializado. Algunos utilizan tomografía computarizada para realizar una mejor ubicación dentro la arquitectura esquelética y su relación con estructuras importantes.
El tratamiento para los odontomas es quirúrgico, realizar la enucleación de todos los componentes y enviarlo a patología para la confirmación histopatológica
Referencias:
- Amado S, Gargallo J, Berini-Aytés L, Gay-Escoda C. Revisión de 61 casos de odontoma. Presentación de un odontoma complejo erupcionado. Med Oral 2003; 8:366-373.
Enlace aquí - Harris J, Rebolledo M, Díaz A, Carbonell Z. Odontoma serie de casos. Revisión de literatura. Av. Odontoestomatol 2011; 27 (1): 25-32.
Enlace aquí - Quintana J, Álvarez L, Viñas M, Algozaín Yudit, Quintana M. Comportamiento clínico-patológico de odontomas. Rev Cubana Estomatol 2012; 49( 3 ): 215-222
Enlace aquí
Autor: Mg. CD Esp. Andrés Agurto Huerta








