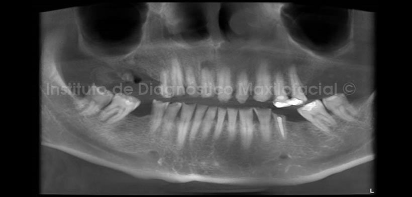
En la evaluación con tomografía volumétrica, en la reconstrucción panorámica (Fig.2) se observa la perdida de estructura dentaria mencionada, así mismo nótese la lesión apical en la pieza 1.1, la misma que en la radiografía panorámica se mostraba discretamente.
En cortes transaxiales (Fig.3 y 4) se observan diferentes piezas dentarias, notando el delgado grosor del esmalte en todas ellas, además se observan cavidades, las cuales pueden estar asociadas a este tipo de anomalía.
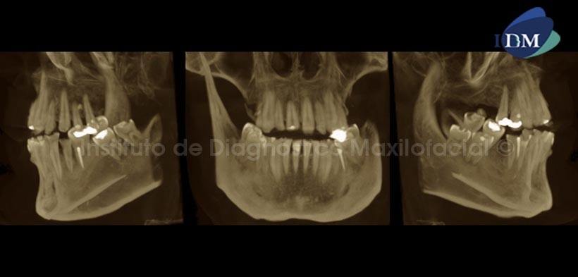
En la reconstrucción tridimensional (Fig. 5) en proyección de máxima intensidad (MIP), se evidencia la perdida de altura dentaria, además de la marcada disminución del esmalte también en caras interproximales presentadose diastemas.
Paráfrasis:
La amelogenesis imperfecta representa un grupo de defectos hereditarios que afectan la estructura del esmalte, es decir que solo afecta el componente ectodérmico de la estructura dentaria dejando intacto el componente mesodérmico. Esta aberración del esmalte usualmente es clasificada en dos tipos, dependiendo si el defecto está relacionado con el fracaso en la mineralización, el tipo hipomineralizado, o si el defecto está asociado con la formación de una matriz imperfecta, siendo este último el tipo Hipoplásico; a su vez el tipo hipomineralizado se subdivide en dos: el tipo de hipocalcificación y el tipo de hipomaduración. En el tipo de hipocalcificación, la formación de la matriz es normal, presentando un defecto en la calcificación de esta, en cambio en la tipo hipoplásico, la formación de la matriz es defectuosa pero de alguna forma está correctamente mineralizada. La apariencia clínica de las piezas dentarias es muy variable en las diferentes tipos de amelogénesis imperfecta apreciando piezas dentarias con cambios de coloración y morfología. Radiográficamente se pueden observar gran pérdida de tejido dentario, mostrándose piezas dentarias con una fina capa de esmalte en la superficie con la presencia de pequeñas cavidades u hoyuelos en el esmalte. Así mismo, en el tipo hipocalcificado y de hipomaduracion se aprecia un esmalte de grosor normal pero de forma irregular, el cual ha perdido su radiopacidad característica, mostrandose inclusive menos denso que la dentina. La rehabilitación de las piezas con amelogenesis imperfecta comprende la extracción de pilares protésicos cuestionables, tratamiento de conductos en remanentes dentarios seguido por la colocación de postes intrarradiculares y coronas protésicas, entre otros procedimientos para recuperar la altura dentaria perdida por el defecto en la formación del esmalte.
Referencias Bibliográficas:
-Patil P, Patil S. Amelogenesis Imperfecta with multiple impacted teeth and skeletal class III malocclusion: Complete mouth rehabilitation of a young adult. The Journal of Prosthetic Dentistry. 2014; 111:11-15.
-Viswambaran CM, Londhe MG. Comprehensive rehabilitation of a case of Amelogenesis imperfecta. Medical Journal Armed Forces India. 2015:1-4
Autores: Esp. C.D. Carlos Andrés Espinoza Peña, Mg. Esp. C.D Andrés Agurto Huerta.








