En la radiografía panorámica (Fig. 1) se observa una alteración del patrón trabecular en el lado derecho del maxilar inferior, caracterizado por áreas de rarefacción y de aumento de la densidad ósea a nivel de las piezas 4.5, 4.6 y 4.7; condicionando el ensanchamiento del espacio periodontal de éstas, y se extiende hacia el reborde alveolar de la pieza 4.8 compromete la zona antegonial, ángulo y rama ascendente.
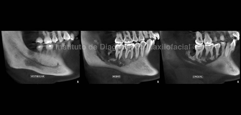
A la evaluación con Tomografía Volumétrica Cone Beam, en los cortes tangenciales (Fig. 2) se evidencia un proceso osteolítico que compromete cuerpo y rama mandibular del lado derecho; en los cortes transaxiales (Fig. 3) se observa el proceso osteolítico de la tabla ósea lingual a nivel de la pieza 4.5 y la presencia de secuestros óseos a nivel de las piezas 4.6, 4.7, con aumento de la densidad ósea circundante; así mismo, se observa un aparente compromiso de las corticales del conducto dentario inferior a nivel de dichas piezas.
En los cortes coronales (Fig.4) se aprecian ambos lados del maxilar inferior en las cuales se observa la marcada alteración del lado derecho, así como la destrucción de la tabla ósea lingual en la zona correspondiente a la pieza 4.8 la cual fue extraída algunos meses atrás. Además presenta una ligera deformación de la tabla ósea vestibular, condicionada por el aumento de la densidad ósea circundante, la cual se puede apreciar en los cortes axiales (Fig.5).
La reconstrucción 3D (Fig. 6) nos muestra el grado de destrucción ósea de la tabla osea lingual, así como los secuestros óseos resultantes del proceso infeccioso.
Como dato clínico de relevancia cabe señalar que la paciente refirió estar en un tratamiento por neoplasia maligna de tipo ósea, el cual consistía en la administración de bifosfonatos por vía intravenosa.
Comentario:
La osteonecrosis de los maxilares es una entidad clínica poco frecuente, la cual tiene relación directa con la alteración del aporte sanguíneo y está relacionada con el uso de bifosfonatos intravenosos los cuales se emplean en el tratamiento de lesiones osteolíticas, en el mieloma múltiple, en metástasis óseas predominantemente líticas resultantes de un cáncer de mama y de próstata y en la hipercalcemia maligna inducida por tumores. Se utilizan también en el tratamiento de osteoporosis post-menopausia y en las inducidas por glucocorticoides. Tienen así mismo indicación terapéutica en la enfermedad de Paget, osteogénesis imperfecta y otras enfermedades metabólicas óseas. Clínicamente las lesiones a nivel intraoral se presentan como áreas únicas o múltiples de exposición de hueso necrótico al medio bucal. Otros signos y síntomas incluyen: dolor, movilidad dentaria, tumefacción, supuración purulenta y parestesia provocada por la osteolisis de las paredes del conducto dentario inferior. A nivel extraoral se puede observar la presencia de fístulas y aumento de volumen de los tejidos blandos de la región cervicofacial. Radiográficamente se observa como áreas de rarefacción de límites difusos, con una zona de transición amplia; además del aumento de la densidad ósea circundante y la presencia de secuestros óseos , los cuales son signos radiográficos importantes para diferenciarla de otro grupo de lesiones más agresiva como las neoplasias malignas de los maxilares; así mismo, es de suma importancia tener los datos clínicos para poder orientar mejor el diagnostico radiográfico y tomográfico.
Autores: Dr. Carlos A. Espinoza, Dr. Andrés Agurto.








