En la radiografía panorámica (Fig 1) se observa una imagen radiolúcida unilocular de limites definidos y corticalizados, asociada a la corona de la pieza 4.8 sugerente de Quiste Dentígero.
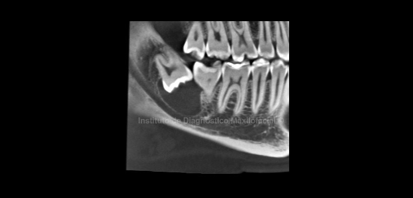
Al estudio con tomografía volumétrica, en el corte tangencial (Fig. 2) confirmamos la formación quística envolviendo la corona de la pieza 4.8, condicionando la posición invertida de esta, con las raíces próximas al borde anterior de la rama ascendente. En el corte axial (Fig. 3) se observa el proceso osteolítico en contacto con la raíz distal de la pieza 4.7, así como el adelgazamiento de la tabla ósea lingual. En el corte transaxial (Fig. 4) se observa el origen de la lesión a nivel de la unión cemento-adamantina (UCA) de la pieza 4.8 y el desplazamiento basal del conducto dentario inferior.
En la reconstrucción tridimensional se observa de forma didáctica la extensión de la lesión y la relación con sus estructuras vecinas (Fig.5).
Comentario
El Quiste Dentígero, también llamado quiste folicular, es el segundo quiste más común después del quiste apical. Siempre está asociado con la corona de un diente en desarrollo, no erupcionado o incluído, afectando en su mayoría a los dientes permanentes, y muy rara vez presentes en la dentición decidua. Se presenta usualmente en pacientes de sexo masculino, en la segunda y tercera década de la vida, en un 70 a 75 % en el maxilar inferior, apareciendo según orden de frecuencia asociado a los terceros molares inferiores y seguido por los caninos superiores.
Los síntomas son escasos y rara vez alcanzan grandes proporciones. Cuando esto sucede se detecta clínicamente, ya que produce expansión ósea y asimetría facial, debido a la excesiva presión hidrostática de la lesión, lo que predispone a la producción de fracturas patológicas por erosión del hueso cortical, sin embargo, en la mayoría de los casos es detectado como un hallazgo radiográfico. También debemos estar atentos en observar si hay desplazamiento de piezas dentarias o reabsorción radicular, los cuales son secuelas de la continua expansión del quiste. Radiográficamente se presenta como una imagen radiolúcida bien definida, con cortical, alrededor de la corona de un diente no erupcionado. Si no es detectado tempranamente, la lesión puede crecer, lo que hace posible la similitud con otras lesiones más agresivas.
Autores: Dr. Carlos A. Espinoza, Dr. Andrés Agurto.







