A pesar de la creciente popularidad, y sus ventajas con respecto a la radiografía convencional de rutina no se pueden aplicar a todos los pacientes que se van a someter a un tratamiento de ortodoncia, ya que la información derivada de estas imágenes no alteran por lo general en las decisiones de diagnóstico y tratamiento. Después de llegar a ésta conclusión, se ha recomendado que la CBCT debe utilizarse en determinados casos en los que la radiografía convencional no puede suministrar información de diagnóstico satisfactorio. Estas aplicaciones pueden incluir las siguientes situaciones clínicas:
- DETALLES SOBRE LA MORFOLOGÍA Y REABSORCIÓN RADICULAR: proporcionar una visualización mejorada de las raíces, lo que hace que sea una herramienta valiosa para la evaluación pre-ortodoncia o post ortodoncia, sobre todo en el diagnóstico de reabsorción radicular (fig.1).
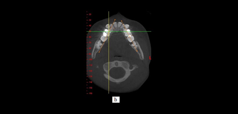
- DETERMINACIÓN ESPACIAL DE LA CORONA Y RAIZ (MORFOMETRÍA DENTOALVEOLAR): Ayuda en la determinación de las angulaciones de raíz, ofrece una evaluación precisa de la altura del hueso alveolar, sin embargo la CBCT da un número de falsos positivos en la determinación de las fenestraciones, por ende, se debe tener cuidado con respecto a la evaluación estos defectos en las imágenes (fig.2).
- MORFOMETRÍA CRANEOFACIAL: Las imágenes en 3D pueden permitir análisis del tamaño, forma y las diferencias volumétricas de las estructuras craneofaciales de manera bilateral, así como los cambios en el crecimiento.
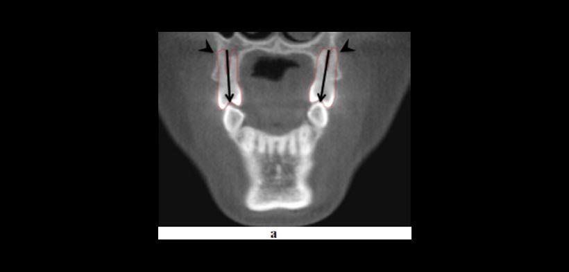
- EVALUACIÓN DE LA CALIDAD Y CANTIDAD ÓSEA: la determinación del volumen y la calidad del hueso, se han convertido en parámetros importantes en la prestación de tratamientos que usen dispositivos de anclaje (fig3).
- ANATOMIA DE LA ATM: La CBCT tiene mejor precisión diagnóstica que la radiografía panorámica para l evaluación de las superficies articulares de la ATM.
- MORFOLOGÍA DE LA VÍA AÉREA: Determina con exactitud el volumen de la vía aérea, importante en el diagnóstico de algún tipo de obstrucción.
- EXPANSIÓN DEL MAXILAR: tanto en la expansión ortopédica o en la expansión quirúrgica asistida, la CBCT proporciona información del crecimiento transversal que se produce a nivel del maxilar.
- CIRUGIA ORTOGNÁTICA: Los resultados del procedimiento quirúrgico pueden facilitarse mediante el uso de la CTCB haciendo una superposición de la tomografía pre quirúrgico con la pos quirúrgica y que permite al hacer comparaciones cualitativas y cuantitativas, el uso de un mapa de colores que se puede girar en todo planos del espacio ayuda a documentar los cambios resultantes de la cirugía.
Figura 1. Relación espacial dentoalveolar (A) Una radiografía panorámica ofrece limitado información sobre la localización exacta de los caninos y su relación con las raíces de los incisivos laterales. En contraste, (b) imagen oclusal, (c) frontal y (d) una vista superior de la reconstrucción volumétrica en 3d, muestran la presencia de la reabsorción radicular en ambos incisivos laterales. Estas imágenes también proporcionan importantes Información para el ortodoncsta o cirujano sobre el mejor abordaje.
Figura 2. Uso de la CBCT en el diagnóstico y la planificación del tratamiento de los dientes transpuestos. Un caso que demuestra raíces transpuestas de los caninos superiores y los primeros premolares en la que la CBCT revela que la raíz canina está a vestibular de la raíz premolar. (a) Reconstrucción tridimensional y (b, c) imágenes transversales y la ubicación de la raíz. Todos estos cortes tomográficos pueden ayudar al clínico a optimizar la planificación del tratamiento.
Figura 3. La CBCT ofrece información sobre las condiciones de frontera que no son discernibles a partir de radiografías de rutina o durante el examen clínico, que pueden tener un impacto sobre las opciones de tratamiento. (a) Pre-tratamiento vista coronal que muestra la inclinación lingual (flechas) de los premolares maxilares y la proximidad de sus raíces bucales al margen de la cortical alveolar (puntas de flecha). (b) Post-tratamiento vista coronal que demuestra que las limitaciones ofrecidas por las condiciones de contorno relaciones hueso de la raíz se han abordado mediante torsión lingual de las raíces. (c) vista sagital y (d) vista transversal de la una CBCT de un individuo con limitaciones severas en las condiciones de contorno donde hay ausencia de corticales óseas. El tratamiento de ortodoncia estaría contraindicado en este caso.
REFERENCIA: Kapila S, Conley RS, Harrell WE. The current status of cone beam computed tomography imaging in orthodontics. Dentomaxillofacial Radiology (2011) 40, 24–34.
Elaborado por : C.D. Luis Alberto Cueva Principe, Mg. Esp. C.D. Andrés Agurto Huerta.










