Paciente femenino de 43 años de edad, es referido al Instituto de Diagnóstico Maxilofacial – IDM para evaluación general.
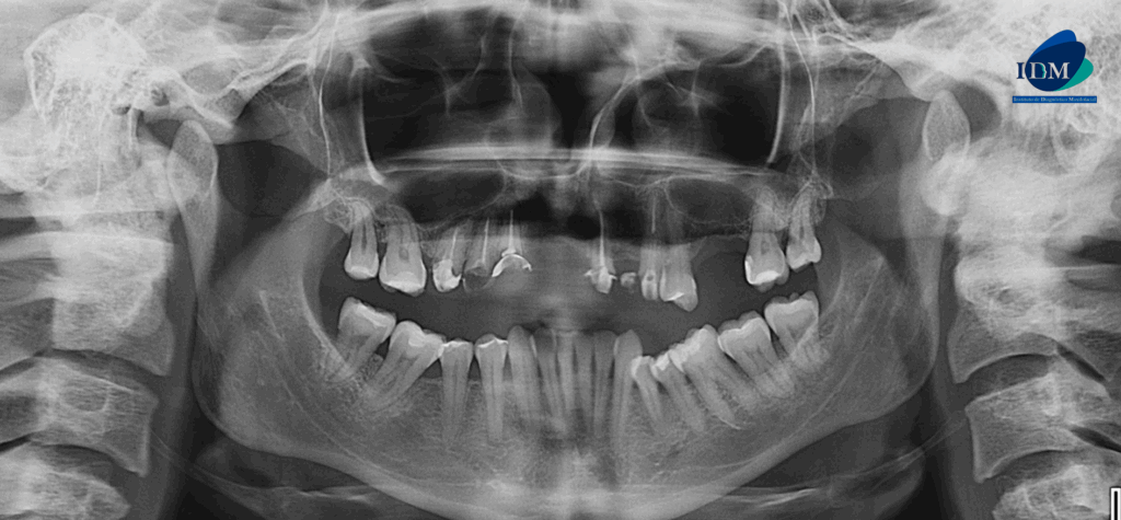
En la radiografía panorámica (Figura 1), se aprecia piezas dentarias con material de obturación, además se evidencia imagen radiopaca definida a nivel apical de pieza 21.
Radiografia Panorámica
A la evaluación de la tomografía volumétrica (CBCT) en los cortes axiales (Figura 2) y transaxiales (Figura 3), se aprecia imagen mixta localizada a nivel apical de pieza 21, de limites definidos, que se extiende en sentido cefálico caudal desde piso de fosa nasal izquierda hasta apical de pieza 21, en sentido mesio distal desde cortical de conducto nasopalatino hasta nivel de zona de pieza 22, ocasionando adelgazamiento y expansión de tabla ósea vestibular y palatina, adelgazamiento del piso de fosa nasal izquierda, borramiento parcial de cortical de conducto nasopalatino.
CORTES AXIALES
CORTES TRANSAXIALES
En las reconstrucciones 3D se representa de manera didáctica Lesión Fibroosea (Figura 4).
RECONSTRUCCIÓN 3D
Conclusión imagenológica:
- Lesión Fibroosea
Paráfrasis
Las lesiones fibroóseas en los huesos maxilofaciales son proliferaciones benignas de células fusiformes acompañadas de cantidades variables de tejido óseo. A lo largo del tiempo, se han propuesto diversas entidades específicas basadas en sus características histológicas y radiográficas. No obstante, debido a la considerable superposición de sus características histológicas, la nomenclatura puede resultar confusa, por lo que se puede simplificar clasificándolas según su presentación radiográfica. Estas neoplasias se pueden agrupar en tres categorías: (a) displasia fibrosa, (b) fibroma osificante y (c) displasia ósea. Todas comparten características histológicas similares y se definen principalmente por el patrón de crecimiento visible en radiografías simples o tomografías computarizadas.
El borde de la lesión generalmente está bien definido y puede presentar márgenes corticalizadas irregulares. El hueso circundante a menudo muestra una mayor densidad trabecular. En sus primeras etapas, la lesión suele tener una forma ovalada o circular. A medida que la afección progresa, la forma se vuelve más irregular, pero generalmente sigue limitada a la región de los ápices radiculares. El contenido interno de la lesión cambia conforme avanza. En su fase inicial, la lesión es completamente radiolúcida, lo que puede confundirse con una lesión inflamatoria de origen pulpar. En la etapa intermedia, se observa una radiopacidad mayormente homogénea con márgenes irregulares alrededor del núcleo de la lesión. En su fase madura, la lesión se presenta casi completamente radiopaca, con densidad uniforme, ya menudo tiene una banda radiolúcida ondulada, delgada e irregular o incluso vaga, rodeada por un margen cortical externo. En algunos casos, las lesiones de mayor tamaño pueden provocar adelgazamiento y expansión de las placas corticales, principalmente en la orientación vestibular.
Bibliografía:
McCarthy EF. Fibro-osseous lesions of the maxillofacial bones. Head Neck Pathol. 2013 Mar;7(1):5-10
Ahmad M, Gaalaas L. Fibro-Osseous and Other Lesions of Bone in the Jaws. Radiol Clin North Am. 2018 Jan;56(1):91-104

Dr. Cesar Castillo Rios
Especialista en radiología bucal y maxilofacial
Cirujano Dentista especialista en Radiología Bucal y Maxilofacial de la Universidad de San Martin de Porres (USMP). Actualmente miembro del Staff de Radiólogos del Instituto de Diagnostico Maxilofacial - IDM
Más información



