
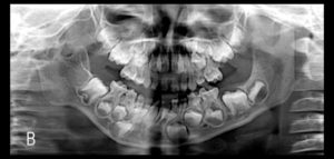
91- Anquilosis de la articulación temporomandibular como una complicación de la artritis séptica neonatal
La artritis séptica es una infección purulenta de alguna articulación, la cual se produce cuando los microorganismos invaden el espacio de alguna articulación, ya sea






