
Caso 305 – IDM – ODONTOMA IDM
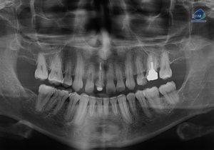
Paciente femenino de 13 años de edad, es referido al Instituto de Diagnóstico Maxilofacial – IDM para evaluación general. En la radiografía panorámica (Figura 1),

Paciente femenino de 13 años de edad, es referido al Instituto de Diagnóstico Maxilofacial – IDM para evaluación general. En la radiografía panorámica (Figura 1),

Paciente masculino de 16 años de edad, es referido al Instituto de Diagnóstico Maxilofacial – IDM para evaluación general. En la radiografía panorámica (Figura 1),

Paciente masculino de 30 años de edad, es referido al Instituto de Diagnóstico Maxilofacial – IDM para evaluación general. En la radiografía panorámica (Figura 1),

Paciente femenino de 10 años de edad, es referido al Instituto de Diagnóstico Maxilofacial – IDM para evaluación general. En la radiografía panorámica (Figura 1),

Paciente femenino de 63 años de edad, es referido al Instituto de Diagnóstico Maxilofacial – IDM para evaluación general mediante estudio tomográfico.En la radiografía panorámica

Paciente masculino de 43 años de edad, es referido al Instituto de Diagnóstico Maxilofacial – IDM para evaluación por presentar aumento de volumen en zona posterior derecha

Paciente masculino de 50 años de edad, es referido al Instituto de Diagnóstico Maxilofacial – IDM para evaluación por presentar dolor en zona anterior del maxilar superior.

Paciente femenino de 24 años de edad, es referido al Instituto de Diagnóstico Maxilofacial – IDM para evaluación por presentar aumento de volumen en zona posterior derecha

Paciente femenino de 50 años de edad, es referido al Instituto de Diagnóstico Maxilofacial – IDM para evaluación por presentar dolor en zona anterior del maxilar superior.

Paciente femenino de 17 años de edad, es referido al Instituto de Diagnóstico Maxilofacial – IDM para evaluación por presentar dolor en zona anteroinferior del

Paciente femenino de 05 años de edad, es referido al Instituto de Diagnóstico Maxilofacial – IDM para control tomográfico. En la radiografía panorámica (Figura 1), se

Paciente femenino de 37 años de edad, es referido al Instituto de Diagnóstico Maxilofacial – IDM para control tomográfico. En la radiografía panorámica (Figura 1), se
Paciente femenino de 20 años de edad, es referido al Instituto de Diagnóstico Maxilofacial – IDM para control tomográfico. En la radiografía panorámica (Figura 1), se
© Copyright 2025