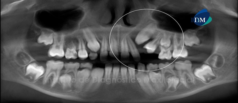
Paciente femenina de 10 años de edad que es referida al Centro Radiológico Óptimus, en la ciudad de Cartago – Costa Rica, por no evidenciarse clínicamente la pieza 24. La reformación panorámica nos muestra la presencia de una imagen isodensa de límites parcialmente definidos, localizada en la región canina del maxilar superior del lado izquierdo y que se encuentra aparentemente asociada a la pieza 23, la misma que ocasiona la divergencia radicular de las piezas 22 y 24. Por otro lado, se aprecia la agenesia de la pieza 15 (Fig. 1).
La tomografía computarizada de haz cónico mediante los cortes transaxiales y tangenciales nos muestra claramente que la lesión pericoronaria no sólo compromete la región de las pieza 23, sino que además se extiende hasta la región de las piezas 22 y 24. Así mismo, la lesión ocasiona el desplazamiento de las tablas óseas bucal y palatina. Signos imagenológicos sugestivos de una lesión benigna, descartar Quiste Dentígero vs. Tumor Odontogénico Adenomatoide (Fig. 2 y 3).
El software Romexis nos brinda diferentes opciones de reconstrucción 3D, como por ejemplo las opciones radiográfico matizado y enhancept depth; que son de mucha ayuda para la evaluación de esta entidad (Fig. 4).
Paráfrasis
El quiste dentígero o coronodentario es clasificado como uno de los quistes odontogénicos de desarrollo, siendo una cavidad anormal que rodea la corona de un diente no erupcionado, dejando por fuera la raíz o raíces de dicha estructura dentaria. Se origina por alteración del epitelio del órgano del esmalte después de la formación completa de la corona por la acumulación de líquido entre las capas del epitelio adamantino o entre este y la corona dental. Está siempre asociado a la corona de un diente retenido. Suelen descubrirse por un estudio radiográfico de rutina. Es de crecimiento lento y asintomático. Pueden originar expansión del hueso, asimetría facial, gran desplazamiento de los dientes y gran reabsorción radicular de los dientes adyacentes. Debido a su elevado potencial de crecimiento, puede producir asimetrías, alteraciones nerviosas por compresión, desplazar dientes e incluso malignizar a ameloblastoma, carcinoma mucoepidermoide o epidermoide.
El TOA es un tumor odontogénico benigno. Se desarrolla del órgano del esmalte, lámina dental, epitelio reducido del esmalte o de sus remanentes. Estos remanentes surgen como restos epiteliales que proliferan en respuesta a un estímulo desconocido. El TOA representa el 3% de los tumores odontogénicos. Se encuentra entre los 10 y 30 años concentrándose en la segunda década de vida y es más frecuente en el sexo femenino. Se localiza preferentemente en la región anterior de los maxilares y con el doble de frecuencia en el maxilar superior.
Radiográficamente este tumor se presenta usualmente como una lesión unilocular pero se han descritos al menos cuatro casos de apariencia multilocular. Se caracteriza por mostrar una imagen mixta con focos radiopacos los cuales usualmente se ubican en la zona pericoronal, el resto de la lesión muestra una radiolucidez definida. Se han reportados dos casos de reabsorción radicular. Frecuentemente el diagnóstico diferencial se realiza con un quiste dentígero o un quiste folicular pero la radiolucidez asociada al TOA se extiende más apicalmente que la presente en el quiste dentígero. Por consiguiente, ¿qué dices?… ¿quiste o tumor?
Referencias
- Vázquez DJ, Gandini PC, Carvajal EE. Quiste dentígero: diagnóstico y resolución de un caso. Revisión de la literatura. Av. Odontoestomatol. 2008; 24 (6): 359-364.
Enlace aquí - Briones D, Basili A, Castellón L, Montero S. Tumor Odontogenico Adenomatoide: Reporte de Caso y Revisión Bibliográfica. Rev Dent Chile. 2005; 96 (2): 14-16.
Enlace aquí - Loughney A, Fernández M, Loughney JC, Sánchez R. Diagnóstico y actitud terapeútica del quiste dentigero. Aportación de dos Casos. Cient Dent. 2011; 8 (3): 195-200.
Enlace aquí
Autor: CD. Esp. Raúl Herrera Mujica, Mg. CD Esp. Andrés Agurto Huerta






