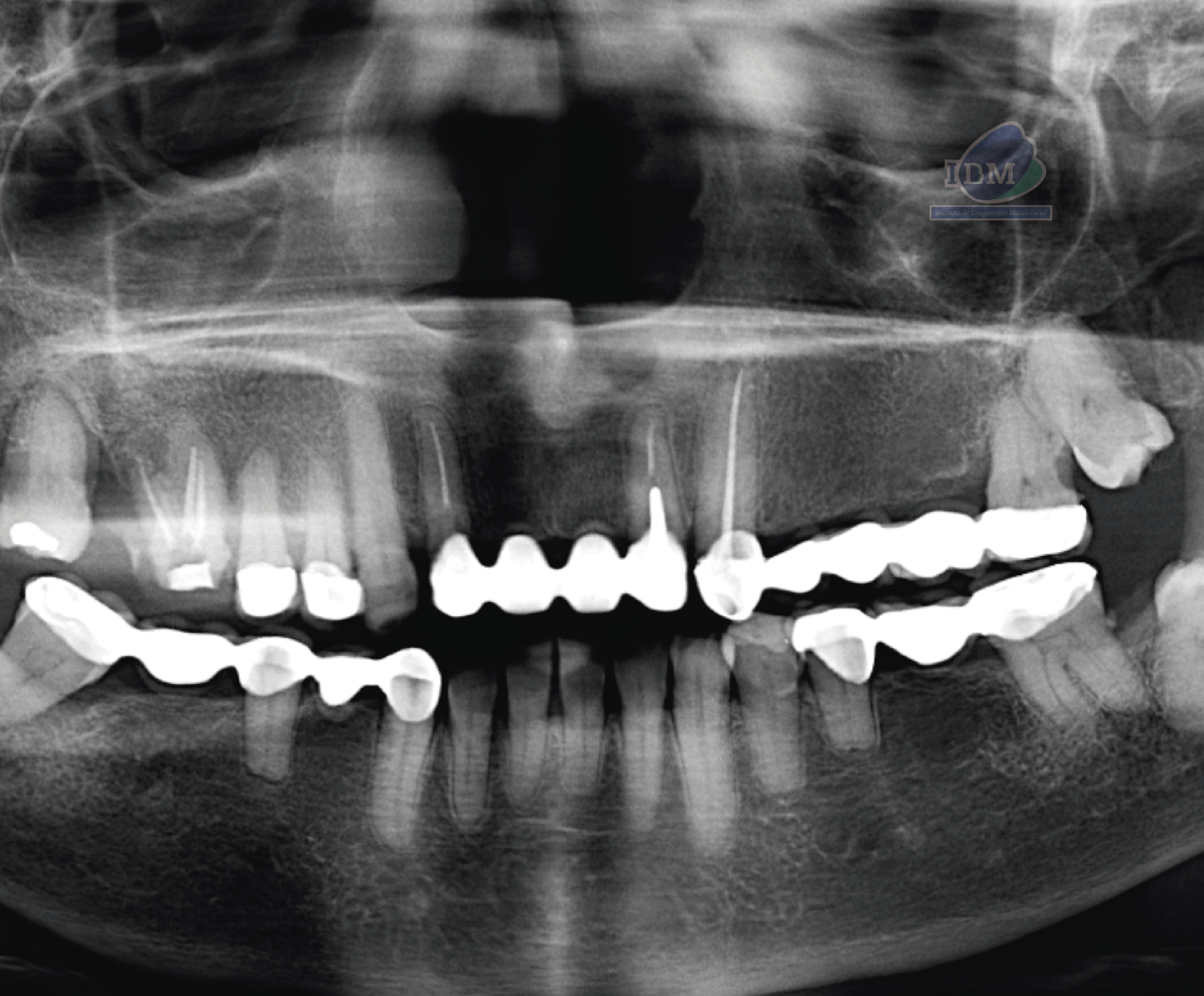
Paciente femenina de 72 años acude a IDM para realizarse una tomografía para evaluación general, al observar la radiografía panorámica se puede observar una mineralización del proceso estilohioideo del lado derecho, aplanamiento del contorno condilar del lado derecho, presencia de placa mineralizada y rebasorción alveolar con presencia de contornos irregulares, múltiples coronas protésicas y piezas dentarias 16, 12, 21, 23 con obturación de conductos, asi como la retención de la pieza 38 y su Hipercementosis, etc.
Sin embargo a nivel de la rama mandibular del lado derecho se observan múltiples imágenes radiopacas de forma irregular que a su vez ocasionan imágenes fantasmas en el lado contra lateral.
Radiografia Panorámica
A la evaluación de la tomografía de campo mediano se observan dichas imágenes hiperdensas múltiples, de forma irregular y densidad cálcica en el espacio parafaringeo, a predominio del lado derecho. Signos imagenológicos compatible con cálculos amigdalinos o tonsilolitos.
CORTES AXIALES
CORTES CORONALES
RECONSTRUCCIÓN 3D
PARAFRISIS
Los tonsilolitos son pequeñas concreciones calcificadas que se forman en las criptas de las amígdalas palatinas formados por sales cálcicas o en combinación con otras sales minerales y que suelen tener pequeño tamaño. Aunque suelen presentarse como únicos y de consistencia dura, en ocasiones, si son de pequeño tamaño pueden ser múltiples y la consistencia es más friable. La morfología puede ser irregular o adoptar una forma piramidal invertida.
La prevalencia de los tonsilolitos oscila entre un 16 y 46,1 % en Se sugiere ampliación de estudio con tomografía computarizada de haz cónico (cone beam), tienen el potencial de causar halitosis oral, durante el metabolismo bacteriano se producen compuestos malolientes, como compuestos volátiles de azufre y gases derivados del azufre. Un olor característico a azufre se produce cuando la producción de gases alcanza cierta concentración.
Bibliografía:
- Rajab LD, Hamdan MAM. Supernumerary teeth: review of the literature and a survey of 152 cases. Int J Paediatr Dent. 2002;12(4):244-254.
- Garvey MT, Barry HJ, Blake M. Supernumerary teeth—An overview of classification, diagnosis and management. J Can Dent Assoc. 1999;65(11):612-616. 1977;15(1):55-63.

Dra. Margarita Leando
Especialista en Radiología Oral y Maxilofacial
Cirujana dentista especialista en Radiologia Bucal y Maxilofacial de la Universidad Peruana Cayetano Heredia. Actualmente miembro del Staff de Radiólogos del Instituto de Diagnóstico Maxilofacial - IDM.
Más información



