Paciente femenino de 87 años de edad, es referido al Instituto de Diagnóstico Maxilofacial – IDM para evaluación general.
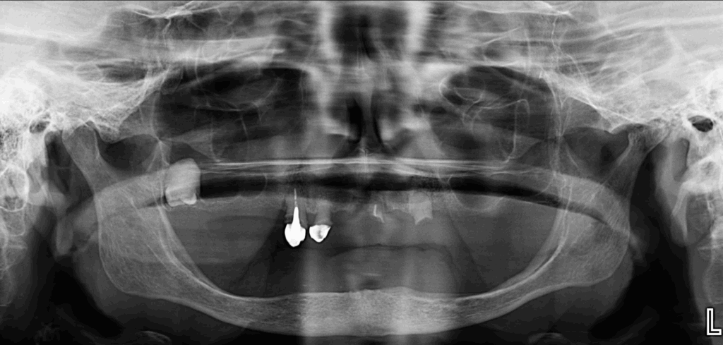
En la radiografía panorámica (Figura 1), se aprecia aplanamiento del contorno del cóndilo mandibular izquierdo, neumatización alveolar de los senos maxilares, edéntulo parcial en maxilar superior y edéntulo total en maxilar inferior, presencia de corona con falta de sellado, espigo y obturación sub extendida de conducto en pieza 13, corona protésica con falta de sellado en pieza 12, remanentes radiculares en piza 21 y 23. Siendo lo más resaltante la pieza 18, la cual esta retenida en posición vertical con un aumento de la densidad radicular.
Radiografia Panorámica
 
															A la evaluación de la tomografía volumétrica (CBCT) en los cortes axiales (Figura 2) y transaxiales (Figura 3), se aprecia pieza 18 orientada hacia vestibular y conducto permeable. Así mismo se evidencia hipercementosis con borramiento del espacio del ligamento periodontal.
En las reconstrucciones 3D se representa de manera  idáctica Hipercementosis y Anquilosis (Pieza Dentaria 18) (Figura 4).
CORTES AXIALES
 
															CORTES TRANSAXIALES Y TANGENCIALES
 
															RECONSTRUCCIÓN 3D
 
															Conclusión:
- Hipercementosis y Anquilosis (Pieza Dentaria18)
Paráfrasis
La hipercementosis (HPC) se describe como una condición no neoplásica caracterizada por la formación excesiva de cemento radicular secundario, que puede afectar a un solo diente.
Su prevalencia varía entre 1,3% y 8% de la población, siendo más común en adultos jóvenes y mayores, especialmente en molares y premolares. Aunque suele considerarse una alteración idiopática, puede estar relacionada con factores locales como la extrusión dental por ausencia de antagonista, el trauma oclusal o la inflamación periapical, así como con factores sistémicos tales como ateroesclerosis, artritis, enfermedades tiroideas, gigantismo y enfermedad de Paget.
Generalmente, la HPC es asintomática y se detecta de manera incidental en estudios radiográficos, donde se aprecia un engrosamiento parcial o total del contorno radicular. En estas imágenes, el espacio del ligamento periodontal y la lámina dura se mantienen visibles y continuos alrededor de la lesión, lo que indica que ambas estructuras permanecen intactas.
Por otro lado, la anquilosis dental representa una condición más severa, definida como la fusión directa entre la dentina o el cemento radicular y el hueso alveolar, provocando la pérdida del ligamento periodontal, el cual es reemplazado
paulatinamente por tejido óseo. Cuando esta estructura se destruye completamente y no puede regenerarse, se produce una sustitución progresiva de la raíz por hueso, generando una anquilosis avanzada. Por ello, el diagnóstico temprano resulta fundamental para evitar complicaciones.
Bibliografía:
- 
Bernal-Ruiz MA, FioriChíncaro GA. Patrones de hipercementosis y su relación con posibles factores etiológicos locales en radiografías de individuos de una población mexicana. Rev Cient Odontol (Lima). 2023; 11(3): e163 
- 
E¸sian, D.; Bica, C.I.; Stoica, O.E.; Dako, T.; Vlasa, A.; Bud, E.S.; Salcudean, D.; Beresescu, L. Prevalence and Manifestations of Dental Ankylosis in Primary Molars Using Panoramic X-rays: A Cross-Sectional Study. Children 2022, 9, 1188. 

Dr. Cesar Castillo Rios
Especialista en radiología bucal y maxilofacial
Cirujano Dentista especialista en Radiología Bucal y Maxilofacial de la Universidad de San Martin de Porres (USMP). Actualmente miembro del Staff de Radiólogos del Instituto de Diagnostico Maxilofacial - IDM
Más información
 
				 
								 
								 
								 
								 
															



