Paciente femenino de 61 años de edad, es referido al Instituto de Diagnóstico Maxilofacial – IDM por dolor en ATM.
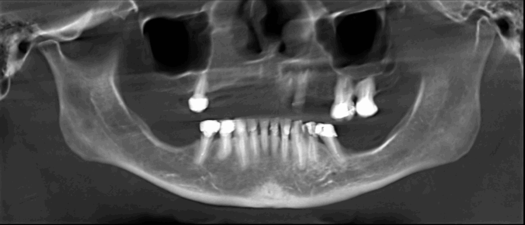
En la reformación panorámica (Figura 1), se aprecia aplanamiento de los contornos de los cóndilos mandibulares, además se observa imagen radiolúcida unilocular proyectada sobre cóndilo mandibular izquierdo, de limites definido, bordes corticalizados.
Radiografia Panorámica
A la evaluación de la tomografía volumétrica (CBCT) de la ATM en boca cerrada, en los cortes axiales (Figura 2), coronales (Figura 3) y sagitales (Figura 4), se aprecia aplanamiento de la vertiente posterior del cóndilo mandibular del lado izquierdo con presencia de imagen hipodensa localizado próximo a la vertiente superior compatible con quiste subcondral, además se aprecia disminución de espacio articular posterior en ATM izquierda y disminución del espacio articular anterior en ATM derecha.
CORTES CORONALES
CORTES SAGITALES
En las reconstrucciones 3D se representa de manera didáctica Quiste Óseo Sub Condral. (Figura 4).
RECONSTRUCCIÓN 3D
Conclusión:
- Quiste Óseo Sub Condral.
Paráfrasis
Los quistes subcondrales corresponden a cavidades quísticas que se forman en el hueso esponjoso situado bajo la superficie articular, siendo más comunes en articulaciones de gran tamaño. Debido a que suelen presentar pocos síntomas y muestran un patrón radiológico característico, su diagnóstico raramente genera dudas. Sin embargo, en los casos en que presentan un comportamiento más agresivo, pueden plantear la sospecha de lesiones de origen neoplásico.
En la articulación temporomandibular, estos quistes se localizan principalmente en la región anterosuperior y en la zona central del cóndilo mandibular, áreas sometidas a mayor carga mecánica. Además, se ha reportado una asociación constante con el desplazamiento del disco articular.
Su identificación se realiza mediante estudios de imagen, como la Tomografía Cone Beam, en los que se observan como pequeñas áreas hipodensas bajo la superficie del cóndilo. Habitualmente se acompañan de otros cambios degenerativos, tales como esclerosis, erosiones óseas y reducción del espacio articular.
Bibliografía:
Takaoka R, Koishi Y, Kuyama K, Ueda Y, Ishigaki S, Uchiyama Y, Shimamoto H, Nakatani A, Yatani H. Cross-sectional and longitudinal assessment of subchondral cysts in temporomandibular joints: Clinical and MRI study with a mean follow-up of 66 months. J Prosthodont Res. 2023 Jul 31;67(3):392-399.
Briner A. Tomografía computada cone beam en articulación témporo mandibular (ATM ). Rev. Med. Clin. Condes – 2014; 25(5) 843-849.

Dr. Cesar Castillo Rios
Especialista en radiología bucal y maxilofacial
Cirujano Dentista especialista en Radiología Bucal y Maxilofacial de la Universidad de San Martin de Porres (USMP). Actualmente miembro del Staff de Radiólogos del Instituto de Diagnostico Maxilofacial - IDM
Más información



