Paciente masculino de 50 años acude al Instituto de Diagnóstico Maxilofacial para una tomografía de campo mediano (10mm x 10mm) para evaluación general de la cavidad oral.
Radiografia Panorámica

A la evaluación de la radiografía panorámica se observa la neumatización de ambos senos maxilares, paciente presenta Edentulismo parcial, presencia de placa cervical mineralizada y reabsorción ósea moderada del proceso alveolar, así como múltiples restauraciones coronarias y piezas dentarias del sector anterior superior e inferior con pérdida de estructura coronaria.
Asimismo, se observa una imagen radiolúcida de forma ovalada y corticalizada proyectada en cuerpo mandibular del lado derecho próxima al reborde basal.
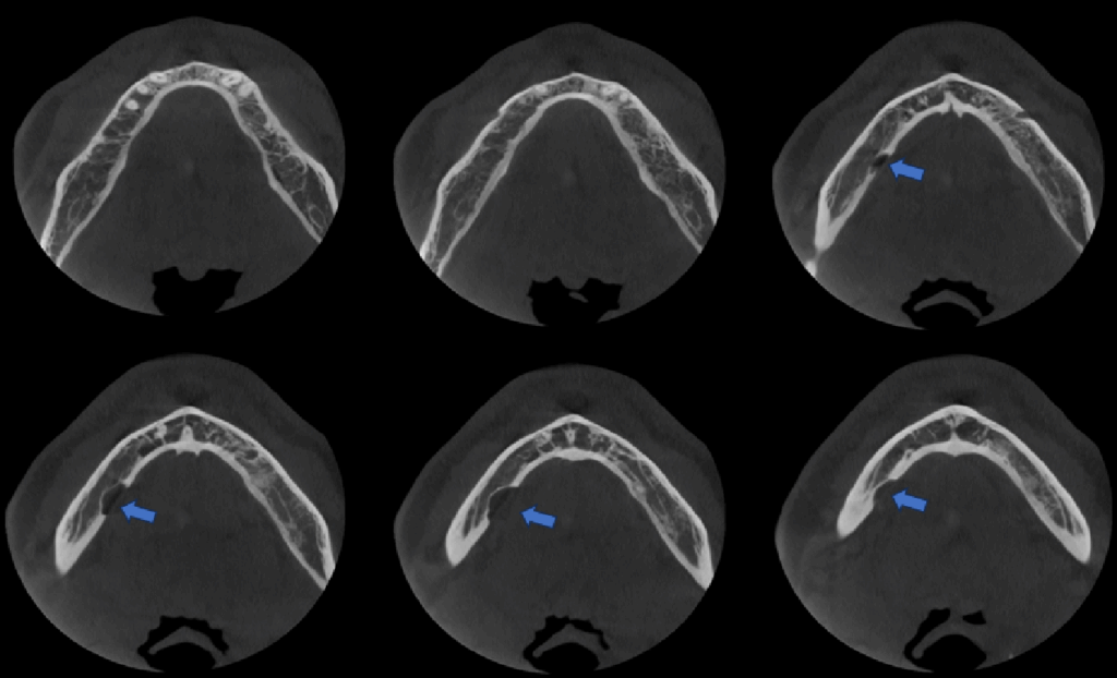
A la evaluación de la tomografía computarizada de campo mediano se observa en cortes axiales la misma imagen efectivamente parcialmente corticalizada, y que ocasiona la perdida de continuidad sólo de la tabal ósea lingual, a pesar de que en los cortes tangenciales de vestibular a lingual se asemejaría a la forma de una lesión quística en formación que se encuentra en contacto con el reborde basal, también notamos que respeta la cortical del conducto dentario inferior, finalmente en los cortes transaxiales y en la reconstrucción 3D podemos tener una mejor visión de la cavidad que no posee características patologícas y las estructuras óseas y dentarias adyacentes que no presentan alteración aparente.
CORTES AXIALES

CORTES TANGENCIALES

CORTES TRANSAXIALES

RECONSTRUCCIÓN 3D

Conclusión: defecto óseo de Stafne.
PARÁFRISIS
en 1942 El Dr. Edward Stafne, presentó varios casos de imágenes radiolúcidas asintomáticas bien delimitadas, redondas u ovoides, los cuales se presentaban cerca del ángulo de la mandíbula, con mayor incidencia debajo del conducto dentario inferior. Más tarde se describieron como cavidades radiolúcidas uniloculares que se descubren comúnmente de forma incidental en una evaluación radiográfica de rutina y que son observados en su mayoría en varones entre la quinta o sexta década de la vida. Se pueden clasificar en tres: anterior, posterior y de rama. La variante anterior se encuentra en el área de la glándula sublingual, la región anterior o el cuerpo de la mandíbula, la variante posterior se encuentra en la zona de la glándula submandibular, que está en la región posterior de la mandíbula. La variante de rama se relaciona con el área de la glándula parótida. Sin embargo, se han reportado casos que no siguen las variantes mencionadas como por ejemplo la región anterior de la mandíbula, la rama ascendente de la mandíbula, la región subcondílea o el cuello de la mandíbula.
La cavidad ósea de Stafne puede diagnosticarse fácilmente mediante radiografía panorámica debido a sus características únicas, sin embargo, la evaluación radiológica avanzada con tomografía computarizada suele ser suficiente para llegar a un diagnóstico definitivo y evitar el sobretratamiento. Las intervenciones quirúrgicas serían una opción innecesaria de tratamiento, salvo en casos dudosos o con otras patologías concomitantes.
Bibliografía:
- Cruces Valdivia AG, Fiori-Chíncaro GA, Agudelo-Botero AM. Cavidad idiopática de Stafne: características y consideraciones imagenológicas. Una revisión [Stafne's idiopathic bone cavity: characteristics and imagenological considerations. A review]. Rev Cient Odontol (Lima). 2021 Oct 6;9(3):e076.

Dra. Margarita Leando
Especialista en Radiología Oral y Maxilofacial
Cirujana dentista especialista en Radiologia Bucal y Maxilofacial de la Universidad Peruana Cayetano Heredia. Actualmente miembro del Staff de Radiólogos del Instituto de Diagnóstico Maxilofacial - IDM.
Más información