Paciente masculino de 67 años de edad, es referido al Instituto de Diagnóstico Maxilofacial – IDM para control tomográfico.
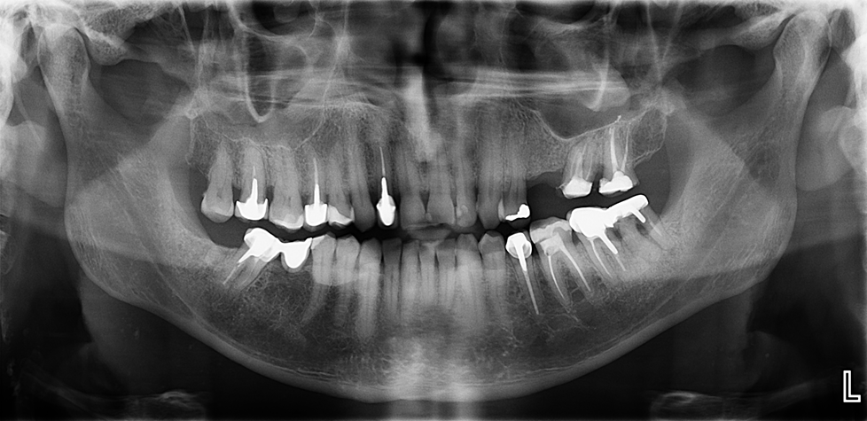
En la radiografía panorámica (Figura 1), se aprecia imagen radiopaca proyectada sobre tercio cervical y medio radicular de las piezas 36, 35, 34, 44, 45.
Radiografia Panorámica

A la evaluación de la tomografía volumétrica (CBCT) en los cortes axiales (Figura 2) y transaxiales (Figura 3), se evidencia múltiples excresencias óseas de forma lobular localizadas hacia lingual a nivel de piezas 36, 35, 34, 44, 45. Características imagenológicas compatible con exostosis óseas (Torus Lingual)
CORTES AXIALES

CORTES TRANSAXIALES

En las reconstrucciones 3D se representa Torus Lingual. (Figura 4).
RECONSTRUCCIÓN 3D

Conclusión:
- Torus Lingual.
Paráfrasis
Las exostosis son protuberancias benignas del tejido óseo que se consideran más una variación anatómica que una verdadera anomalía del desarrollo. El torus, ya sea palatino o mandibular, forma parte de estas variaciones anatómicas y no se considera patológico; sin embargo, puede interferir en la confección de prótesis dentales.
Se caracterizan por ser crecimientos óseos benignos, bien delimitados, de tamaño variable, uni o bilaterales, y generalmente asintomáticos. Crecen lentamente y aparecen con frecuencia en la edad adulta.
La etiología del torus aún no se conoce con certeza. Se acepta que es multifactorial: se barajan causas genéticas (posiblemente herencia autosómica dominante de baja penetrancia), factores ambientales y funcionales como el bruxismo, el trauma local y hábitos alimenticios relacionados con niveles de vitamina D, calcio y ácidos grasos.
Se estima que alrededor del 10 % de la población presenta torus mandibular o palatino, especialmente entre los 35 y 65 años, con una mayor frecuencia en mujeres Cuando esto ocurre, el tratamiento es quirúrgico: se retira o talla el exceso de hueso desde su base, generalmente bajo anestesia local. Existe una posibilidad de recurrencia si persisten los factores funcionales que originaron el torus.
Bibliografía:
-
Jiménez-Castellanos FA, Arango-Piñeros DA, Toloza-Cubillos CA. Escisión de torus mandibular bilateral en paciente sistémicamente comprometido: reporte de caso. Rev Cient Odontol. 2020; 8 (3): e035.
FUENTES, F. R.; BORIE, E. E.; PARRA, V. P. & REBOLLEDO, S. K. Torus palatino y torus mandibular. Int. J. Odontostomat., 3(2):113-117, 2009

Dr. Cesar Castillo Rios
Especialista en radiología bucal y maxilofacial
Cirujano Dentista especialista en Radiología Bucal y Maxilofacial de la Universidad de San Martin de Porres (USMP). Actualmente miembro del Staff de Radiólogos del Instituto de Diagnostico Maxilofacial - IDM
Más información