Paciente masculino de 9 años de edad acude al Instituto de Diagnóstico Maxilofacial – IDM (surco) para evaluación imagenológica de piezas anterosuperiores.
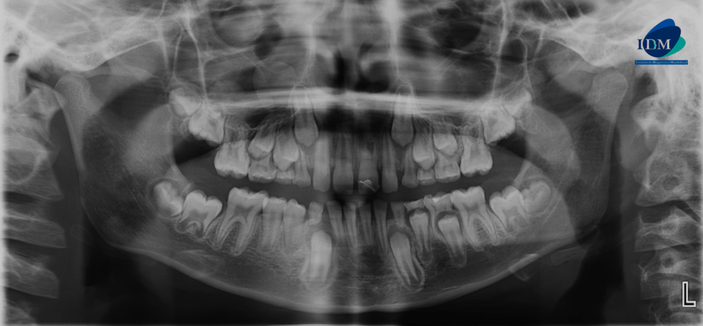
En la radiografía panorámica (Figura 1), se observa pieza 21 con material restaurador coronal, obliteración parcial cámara y conducto radicular.
Radiografia Panorámica
A la evaluación de la tomografía volumétrica (cone beam) de campo reducido en los cortes axiales (Figura 2) y transaxiales (Figura 3) se observa la pieza 21 con material restaurador coronal, obliteración de cámara y conducto radicular en tercio cervical y medio; además de observar la formación radicular incompleta caracterizado por tercio apical de conducto y foramen apical amplio; signos compatibles con secuela de trauma dental.
CORTES AXIALES
CORTES TRANSAXIALES
En la reconstrucción 3D se representa la obliteración del conducto y foramen apical amplio de la pieza 21 (Figura 4)
RECONSTRUCCIÓN 3D
Conclusión imagenológica:
- Metamorfosis cálcica de pieza 21
- Pseudo infantilismo pulpar de pieza 21
Parafrisis
Las reacciones pulpares a lesiones traumáticas pueden variar desde una necrosis pulpar inmediata hasta una respuesta a largo plazo, dependiendo del grado y tipo de traumatismo. La metamorfosis Cálcica (MC) es una secuela común del trauma dental y es definida por la Asociación Americana de Endodoncistas como una respuesta pulpar al traumatismo caracterizada por la rápida deposición de tejido duro dentro del espacio del conducto. La apariencia radiográfica de la MC es una obliteración parcial (limitada a la parte coronal del diente) o total (extendida a los espacios del conducto pulpar coronal y radicular) del espacio del conducto pulpar con espacio normal de la membrana periodontal y lámina dura intacta. Cuando MC se asocia con periodontitis apical, se puede observar un engrosamiento del espacio del ligamento periodontal o radiolucidez perirradicular (1).
Cuando un diente con formación incompleta de la raíz sufre necrosis pulpar debido a un traumatismo, caries u otras patologías pulpares, la formación de dentina se interrumpe y detiene el desarrollo radicular. El pseudoinfantilismo pulpar se observa radiográficamente por presentar una detención del proceso de formación radicular, presencia de zona radiolúcida en apical y conducto amplio (2).
Bibliografía:
- Fonseca Gabriel M, Fonseca Miguel M. Calcific Metamorphosis with Pathological Root Resorption in Permanent Teeth: Morphohistometric Evaluation of Two Cases. Int. J. Morphol. 2015 Jun; 33(2):712-18. URL
- Hervoso-Candia , María Cecilia y Barzuna-Ulloa Mayid . UNA NUEVA ALTERNATIVA PARA DIENTES INMADUROS CON PULPA NECRÓTICA: APICOFORMACIÓN USANDO HIDRÓXIDO DE CALCIO CON YODOFORMO Y UN BIOCERÁMICO. Revista Científica Odontológica. 2017;13(1):25-31. URL

Dra. Faride Milagros Cornejo Pinto
Especialista en radiología bucal y maxilofacial
Cirujano Dentista especialista en Radiología Bucal y Maxilofacial de la Universidad Peruana Cayetano Heredia. Actualmente miembro del Staff de Radiólogos del Instituto de Diagnostico Maxilofacial - IDM
Más información



