Paciente femenina de 38 años de edad acude al instituto de Diagnóstico maxilofacial – IDM (surco) para evaluación imagenológica general.
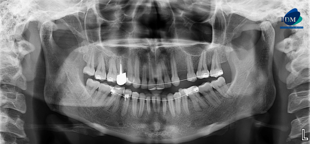
En la radiografía panorámica (Figura 1), se observa el engrosamiento de la mucosa de senos maxilares, aparatología ortodóntica en maxilar superior e inferior y múltiples restauraciones coronarias; a nivel de las piezas 37 y 47 se observa la elongación céfalo – caudal de la cámara pulpar, compatible con taurodontismo.
Radiografia Panorámica
A la evaluación de la tomografía volumétrica (cone beam) en los cortes axiales (Figura 2), tangenciales (Figura 3) y en la reconstrucción 3D (Figura 4) se observa en la pieza 47 la configuración del conducto radicular en forma de “C” desde tercio cervical hasta apical.
CORTES AXIALES
CORTES TRANSAXIALES
RECONSTRUCCIÓN 3D
Conclusión imagenológica:
- Taurodontismo en pieza 37 y 47.
- Conducto radicular en forma de “C” en pieza 47.
Parafrisis
La anatomía del canal en forma de “C” fue descrita por primera vez por Cooke y Cox en 1979 (1).
Este tipo de configuración es bastante frecuente en segundos molares mandibulares (1) así mismo; existe una asociación significativa entre taurodontismo, características en forma de “C” (2).
Fan et al. (2004) proponen una clasificación de los conductos radiculares en forma de “C” (1) . Esta clasificación es anatómica y se representa en los cortes axiales de tomografía volumétrica (TCHC).
- Categoría 1 (C1), la raíz tiene una sección transversal continua en forma de C sin separación ni división.
- Categoría 2 (C2), la raíz tiene una sección transversal discontinua en forma de C con al menos un arco no inferior a 60°.
- Categoría 3 (C3), la raíz tiene 2-3 canales separados y ningún arco es mayor de 60°.
- Categoría 4 (C4), la raíz tiene un solo conducto redondo u ovalado en la sección transversal.
- Categoría 5 (C5), el conducto radicular no tiene lumen, pero el conducto suele estar cerca del ápice.
Bibliografía:
- Joshi N, Shrestha S, Sundas S, Prajapati K, Devi Wagle S, Gharti A. C-Shaped Canal in Second Molar of Mandible among Cases of Cone Beam Computed Tomography in Tertiary Care Centres: A Descriptive Cross-sectional Study. JNMA J Nepal Med Assoc. 2021 Jul 30;59(239):649-652. doi: 10.31729/jnma.6722. URL
- Li S, Min Z, Wang T, Hou B, Su Z, Zhang C. Prevalence and root canal morphology of taurodontism analyzed by cone-beam computed tomography in Northern China. BMC Oral Health. 2025 Jan 2;25(1):5. doi: 10.1186/s12903-024-05294-3. URL

Dra. Faride Milagros Cornejo Pinto
Especialista en radiología bucal y maxilofacial
Cirujano Dentista especialista en Radiología Bucal y Maxilofacial de la Universidad Peruana Cayetano Heredia. Actualmente miembro del Staff de Radiólogos del Instituto de Diagnostico Maxilofacial - IDM
Más información



