
048 – Pansinusitis
Paciente masculino, 11 años de edad es referido al Instituto de Diagnostico Maxilofacial (IDM) para evaluación general.A la evaluación de la radiografía panorámica (ortopantomografía) se

Paciente masculino, 11 años de edad es referido al Instituto de Diagnostico Maxilofacial (IDM) para evaluación general.A la evaluación de la radiografía panorámica (ortopantomografía) se

Paciente femenino de 31 años de edad es referido al Instituto de Diagnóstico Maxilofacial (IDM) para evaluación general y por presentar movilidad de la pieza

Paciente masculino de 54 años de edad que es referido para el estudio imagenológico previo a la colocación de implantes dentales. A la evaluación de

Paciente masculino, 56 años de edad acude a Imágenes Digitales (COREF) en Santo Domingo para evaluación tomográfica debido a que presenta supuración a nivel basal

Paciente masculino de 24 años de edad que es referido para descartar la ausencia de la pieza 35. A la evaluación de la radiografía panorámica

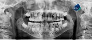
Paciente masculino, 50 años de edad es referido al Instituto de Diagnóstico Maxilofacial (IDM) para evaluación general y por leve molestias en el sector ántero

Paciente masculino de 34 años de edad que es referido por presentar dolor leve a nivel de la pieza 16. A la evaluación de la

Paciente femenino, 47 años de edad es referida al Instituto de Diagnóstico Maxilofacial (IDM) para evaluación debido a que presenta leve molestias en zona maxilar

Paciente femenino, 31 años de edad es referida al Instituto de Diagnóstico Maxilofacial (IDM) para evaluación debido a que presenta leve molestias en zona gingival de pieza 46

Paciente de 69 años de edad, de sexo femenino acude al Instituto de Diagnostico Maxilofacial para la extraccion de multiples remanentes dentarios y la posterio colocacion de implantes intraoseos. Asi mismo, en la radiografia panoramica (Fig. 1), se observan multiples piezas con restauraciones coronarias, apreciando la pieza 2.7 con una lesion cariosa amplia y una lesion apical ; y la presencia de tratamiento de conductos en las piezas anterosuperiores, observando en la pieza 1.2 una lesion perirradicular.

Paciente femenino de 11 años de edad es referida al Instituto de Diagnóstico Maxilofacial (IDM) para evaluación debido a que presenta dientes que aún no han erupcionado en boca.
A la evaluación de la radiografía panorámica se aprecia una imagen radiopaca de densidad dentaria proyectada en el reborde alveolar correspondiente a piezas 2.2 y 2.3, causando la impactación de las mismas. Asimismo apreciamos la persistencia de la pieza 6.3 . (Figura 1).

Paciente masculino de 47 años de edad es referido al Instituto de Diagnóstico Maxilofacial para la evaluación y plan de tratamiento correspondiente a la rehabilitación de toda la boca. A la evaluación de la radiografía panorámica (Fig. 1) se aprecia el marcado aplanamiento de la vertiente anterosuperior del cóndilo mandibular del lado derecho, así mismo se observan algunas ausencias dentarias y restos radiculares, así como la pérdida de estructura dentaria a nivel de bordes incisales y caras oclusales. Notese la perdida de estructura dentaria a nivel de caras interproximales, donde se aprecia la marcada disminución del espesor del esmalte, dando un aspecto de dientes tallados para la colocación de prótesis fijas.

Paciente masculino de 65 años de edad es referido al Instituto de Diagnóstico Maxilofacial (IDM) para evaluación de problemas periodontales. A la evaluación de la radiografía panorámica se aprecia una imagen radiopaca de densidad de tejidos blandos, de forma redondeada proyectada en el antro del seno maxilar izquierdo, compatible con quiste de retención mucoso. Asimismo observamos reabsorción ósea alveolar moderada generalizada, con presencia de proceso osteolítico peri radicular a nivel de pieza 3.7 (Figura 1).

Paciente masculino de 22 años de edad es referido al Instituto de Diagnóstico Maxilofacial (IDM) para evaluación luego de haber sufrido un accidente de tránsito como ocupante de una motocicleta.

Paciente de 9 años de edad y de sexo masculino es referido a la consulta radiológica por el aumento de volumen del lado izquierdo de la cara. A la evaluación de la radiografía panorámica (Fig.1), se observa un paciente con dentición mixta, observando a nivel interradicular de la pieza 3.6, una imagen radiolúcida de límites difusos.

Paciente masculino de 47 años de edad es referido al Instituto de Diagnóstico Maxilofacial para la evaluación y plan de tratamiento correspondiente a la rehabilitación de toda la boca. A la evaluación de la radiografía panorámica (Fig. 1) se aprecia el marcado aplanamiento de la vertiente anterosuperior del cóndilo mandibular del lado derecho, así mismo se observan algunas ausencias dentarias y restos radiculares, así como la pérdida de estructura dentaria a nivel de bordes incisales y caras oclusales. Notese la perdida de estructura dentaria a nivel de caras interproximales, donde se aprecia la marcada disminución del espesor del esmalte, dando un aspecto de dientes tallados para la colocación de prótesis fijas.

Paciente de 58 años de edad y de sexo masculino es referido a la consulta radiológica para la colocación de implantes dentarios en el maxilar superior en la cual se observa; en la evaluacion Panorámica (Fig.1), la presencia de un defecto oseo perirradicular asociado a la pieza 2.3, presentando destruccion coronaria total; en la cual se aprencian restos de material radiopaco intrarradicular y la probable presencia de fractura a nivel del tercio medio radicular. Así mismo se observa que es un paciente edentulo parcial bimaxilar y la presencia de protesis fijas en el maxilar superior e inferior.

Paciente masculino de 15 años de edad que es referido por presentar alteración morfológica de las estructuras blandas y duras del sector anterior de los maxilares superiores. A la evaluación de la radiografía panorámica se observan defectos óseos (uno a cada lado distal de los incisivos centrales) que se extienden desde la cima del reborde alveolar hasta el piso de fosa nasal, comprometiendo este último (flechas rojas). Así mismo, se evidencia que los defectos óseos se encuentran asociados a la ausencia de las piezas 12 y 22; así como, a la presencia de dos piezas supernumerarias (flechas amarillas). Signos radiográficos compatibles con Paladar Fisurado Bilateral (Fig. 1).

Paciente femenino de 25 años de edad que es referida por presentar la persistencia de la pieza 53 y probable ausencia de la pieza 13. A la evaluación de la radiografía panorámica se observa la retención intraósea del canino superior derecho; pero como hallazgo se evidencia una imagen radiopaca de límites parcialmente definidos, localizada en la parasínfisis mandibular del lado izquierdo, que se extiende desde la región de la pieza 33 hasta la región de la pieza 35 y que presenta además una aparente proximidad al conducto dentario inferior. Signos radiográficos compatibles con Osteoesclerosis Idiopática(Fig. 1).

Paciente de sexo masculino de 66 años es referido al Instituto de Diagnostico Maxilofacial para la evaluación pre quirúrgica de implantes dentales en maxilar superior, el paciente refirió dolor intenso e “inflamación de encía” en la zona del cuadrante III, como dato clínico adicional la paciente refiere dicha sintomatología posterior a la cirugía de implantes dentales en el maxilar inferior. En la radiografía panorámica se observan estructuras óseas y dentarias de características aparentemente normales (Fig.1)
© Copyright 2025