
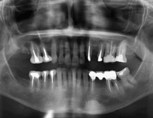
Caso 357 – IDM – SIALOLITO NO EVIDENTE EN RADIOGRAFÍA PANORÁMICA – IDM
Paciente femenina de 51 años acude al Instituto para realizarse una tomografía volumétrica para rehabilitación oral, a la evaluación de la radiografía panorámica se observa

Paciente femenina de 51 años acude al Instituto para realizarse una tomografía volumétrica para rehabilitación oral, a la evaluación de la radiografía panorámica se observa

Paciente femenino de 69 años acude al Instituto para realizar una tomografía con fines de rehabilitación oral, a la evaluación de la radiografía panorámica se
© Copyright 2025