Paciente femenino de 53 años, es referido al Instituto de Diagnóstico Maxilofacial – IDM (Sede Surco) para evaluación de ATM.
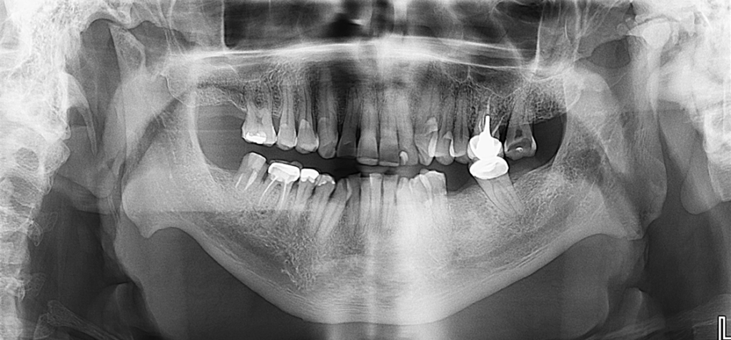
Radiografia Panorámica
En la radiografía panorámica se evidencia aplanamiento de ambos cóndilos mandibulares con acentuación bilateral de las escotaduras antegoniales. En el cóndilo mandibular izquierdo se observa esclerosis acompañada de imágenes radiopacas circundantes, compatibles con cuerpos óseos libres.
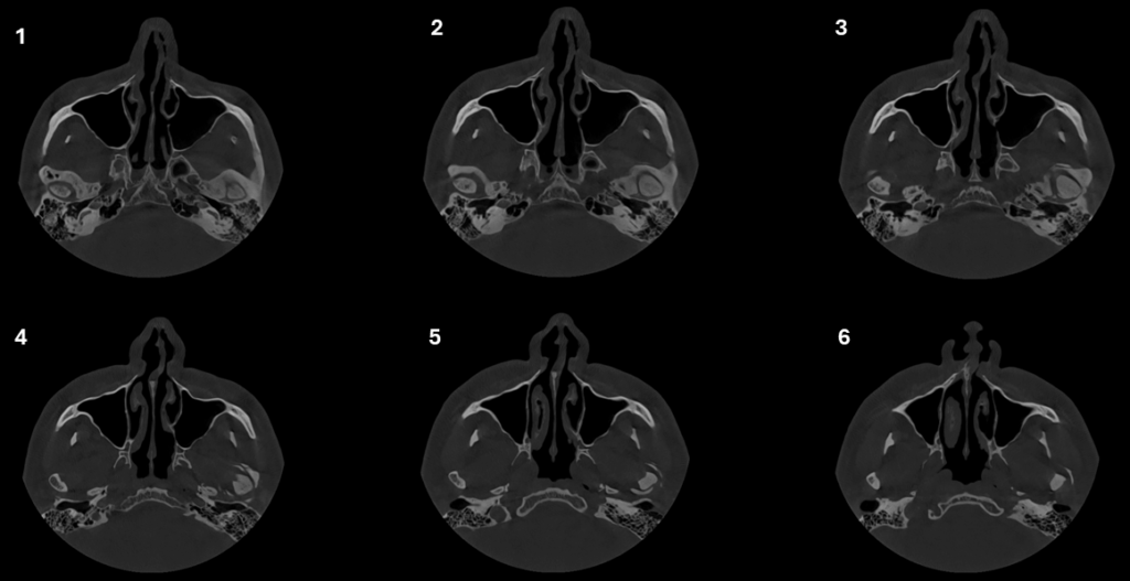
En la ampliación imagenológica con tomografía computarizada de haz cónico se identifica en el lado derecho se aprecia aplanamiento y esclerosis de la cabeza condilar, con formación de osteofito, presencia de pseudoquiste subcondral y erosión en el contorno superior, además de una disminución del espacio articular en las regiones posterior y lateral. En el lado izquierdo se observa aplanamiento y esclerosis que comprometen la cabeza y el cuello condilar, con osteofito asociado y múltiples cuerpos óseos libres alrededor del cóndilo. Asimismo, se identifica una reducción del espacio articular en las regiones posterior, superior, medial y lateral.
CORTES AXIALES
Cortes Coronales Oblicuos
Cortes Sagitales Oblicuos
RECONSTRUCCIÓN 3D
Conclusión imagenológica:
- Condromatosis sinovial de la ATM izquierda.
Paráfrasis
La condromatosis sinovial es una enfermedad poco frecuente caracterizada por la formación de cuerpos cartilaginosos libres, originados por la proliferación anómala de la membrana sinovial. La Organización Mundial de la Salud la define como una proliferación cartilaginosa nodular benigna que se desarrolla en la membrana sinovial articular, las bursas o las vainas tendinosas (1)
En la articulación temporomandibular, la condromatosis sinovial presenta diversas características radiográficas e imagenológicas, entre ellas la localización del centro lesional en el espacio articular superior, alteraciones óseas en la eminencia articular y la fosa glenoidea, calcificaciones con patrones en arco-anillo o en “palomitas de maíz”, ensanchamiento del espacio articular y un crecimiento de comportamiento autolimitado. Estas manifestaciones son de gran utilidad para diferenciarla de otras patologías de la articulación temporomandibular (2)
El tratamiento depende de la extensión de la lesión. La cirugía artroscópica se recomienda cuando la lesión se encuentra confinada al espacio superior de la articulación, mientras que la artroplastia abierta está indicada en casos con compromiso extraarticular. En lesiones que se extienden más allá del surco medial del cóndilo puede ser necesaria la combinación de ambas técnicas quirúrgicas (3)
En conclusión, la condromatosis sinovial de la articulación temporomandibular, a pesar de su baja frecuencia, debe ser considerada dentro del diagnóstico diferencial en pacientes con sintomatología articular y hallazgos radiológicos compatibles. La detección temprana mediante estudios de imagen, en especial la tomografía computarizada de haz cónico, resulta fundamental para establecer un diagnóstico preciso, planificar el abordaje quirúrgico más adecuado y mejorar el pronóstico del paciente.
Bibliografía:
- Nath P, Menon S. Synovial Chondromatosis of the Temporomandibular Joint. J Maxillofac Oral Surg. 2020 Jun;19(2):230-234. doi: 10.1007/s12663-019-01194-0
- Jang BG, Huh KH, Kang JH, Kim JE, Yi WJ, Heo MS, Lee SS. Imaging features of synovial chondromatosis of the temporomandibular joint: a report of 34 cases. Clin Radiol. 2021 Aug;76(8):627.e1-627.e11. doi: 10.1016/j.crad.2021.02.020. Epub 2021 Mar 21. PMID: 33762137.
- Gonzalez LV, López JP, Orjuela MP, Mejía M, Gallo-Orjuela DM, Granizo López RM. Diagnosis and management of temporomandibular joint synovial chondromatosis: A systematic review. J Craniomaxillofac Surg. 2023
Sep;51(9):551-559. doi: 10.1016/j.jcms.2023.07.008. Epub 2023 Aug 5. PMID: 37562984.

Dr. Kevin Fernando Huamaní Bendezú
Maestría en Estomatología
Cirujano dentista especialista en Radiología Bucal y Maxilofacial de la Universidad Peruana Cayetano Heredia. Actualmente miembro del Staff de Radiólogos del Instituto de Diagnóstico Maxilofacial - IDM. Además, docente de Radiología Bucal y Maxilofacial en la Universidad Peruana de Ciencias Aplicadas.
Más información



