Paciente masculino de 8 años de edad acude al Instituto de Diagnóstico Maxilofacial – IDM (Miraflores) para evaluación imagenológica.
En la radiografía panorámica (Figura 1), se observa pieza supernumeraria en evolución intraósea ubicada entre la piezas 22 y 23, además de una alteración en la morfologia coronaria de pieza 22.
Además se observa la persistencia de piezas deciduas 61 y 62.
Radiografia Panorámica

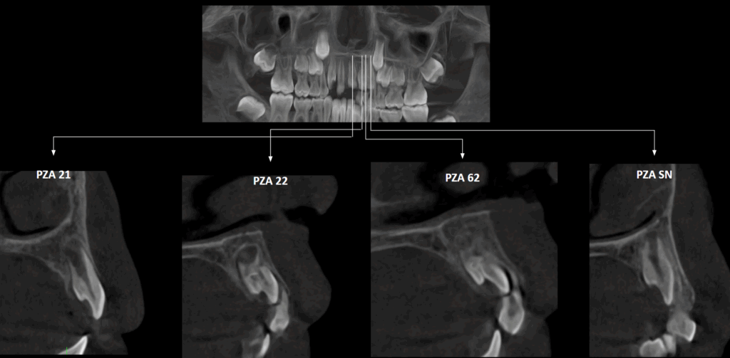
A la evaluación de la tomografía volumétrica (cone beam) bimaxilar en los cortes axiales (Figura 2) y tangenciales (Figura 3) se observa la pieza supernumeraria suplementaria en evolución intraósea (nolla 7) localizada entre piezas 22 y 23 ubicada hacia palatino y en contacto de tercio incisal coronario de pieza 23. Además se observa la pieza 22 en evolución intraósea (nolla 7) con alteración
de la morfología coronaria caracterizada por el repliegue de los tejidos dentarios hacia la cámara pulpar compatible con anomalía dentaria (dens invaginatus).

CORTES TRANSAXIALES


En la reconstrucción 3D se representa las características y ubicación de pieza supernumeraria y pieza 22 (Figura 4).
RECONSTRUCCIÓN 3D

Conclusión imagenológica:
- Pieza supernumeraria suplementaria en segundo cuadrante.
- Dens invaginatus en pieza 22.
Paráfrasis:
El dens invaginatus, también conocido como dens in dente, es una anomalía del desarrollo dental que da lugar a una invaginación en el diente, debido a que los tejidos dentales crean un pliegue desde la superficie externa hacia la pulpa, antes de la calcificación de los tejidos dentales (1). Se han propuesto muchas teorías etiopatogénicas para explicar este proceso, El diente invaginado puede aparecer en ambas denticiones, con una prevalencia que oscila entre el 0,25 y el 7,7 %, aunque es más frecuente en la dentición permanente. Se han descrito casos de incisivos centrales y laterales maxilares, caninos y premolares, así como incisivos y premolares mandibulares, siendo los incisivos laterales maxilares los más frecuentemente afectados (1).
El diente supernumerario puede desarrollarse a partir de un germen dental adicional que se origina en la banda epitelial, o puede desarrollarse a partir de los restos de células epiteliales que persisten durante la desintegración de la lámina dental. La morfología supernumeraria se caracteriza por ser suplementaria o rudimentaria. Suplementaria se refiere a los dientes supernumerarios que tienen un tamaño y forma normales.
Rudimentaria, por otro lado, se refiere a los dientes supernumerarios que suelen ser más pequeños y con una forma alterada. Los términos cónico/en forma de clavija, tuberculado y molariforme se utilizan para describir los dientes supernumerarios rudimentarios. La palabra rudimentario se refiere a unamentidad inmadura y subdesarrollada, lo que no es necesariamente siempre el caso de los dientes supernumerarios que no son suplementarios (2).
Bibliografía:
- González-Mancilla S, Montero-Miralles P, Saúco-Márquez JJ, Areal-Quecuty V, Cabanillas-Balsera D, Segura-Egea JJ. Prevalencia de Dens Invaginatus evaluada por CBCT: Revisión
sistemática y metanálisis. J Clin Exp Dent. 2022 Nov 1;14(11):e959-e966. doi: 10.4317/jced.59849. PMID: 36458027 URL - Davidson CL, Smit C y Nel S. Dientes supernumerarios: Una revisión pictórica y una clasificación
revisada. J Oral Biol Craneofacial Res. 2025 Mayo-Jun;15(3):454-462. doi:
10.1016/j.jobcr.2025.03.005. URL

Dra. Faride Milagros Cornejo Pinto
Especialista en radiología bucal y maxilofacial
Cirujano Dentista especialista en Radiología Bucal y Maxilofacial de la Universidad Peruana Cayetano Heredia. Actualmente miembro del Staff de Radiólogos del Instituto de Diagnostico Maxilofacial - IDM
Más información