Paciente femenina de 46 años, es referido al Instituto de Diagnóstico Maxilofacial – IDM (Sede Surco) para evaluación general.
Radiografia Panorámica
En la radiografía panorámica se evidencian múltiples restauraciones coronarias. En relación con la pieza 37, se observa tratamiento endodóntico, proceso osteolítico periapical en la raíz mesial y un aumento de la densidad ósea circundante que se extiende hasta la cortical superior del conducto dentario inferior. Con respecto a la pieza 46, se observa una restauración coronaria extensa, un ensanchamiento del espacio para el ligamento periodontal periapical y un aumento de la densidad ósea periapical que se extiende hasta el conducto dentario inferior.
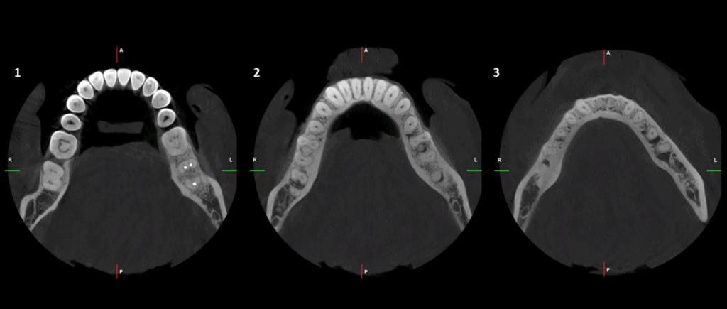
En el estudio complementario mediante tomografía computarizada de haz cónico (TCHC), se observa la obturación subextendida de conductos en la raíz mesial de la pieza 37, se confirma el proceso osteolítico periapical y el aumento de la densidad ósea circundante con extensión hacia el conducto dentario inferior. En la pieza 46 se observa una restauración oclusal hiperdensa con material restaurador isodenso subyacente próximo a cámara pulpar y se corrobora el aumento de la densidad ósea periapical que además se extiende hacia la tabla ósea lingual.
CORTES AXIALES
CORTES TRANSAXIALES
CORTES TANGENCIALES
RECONSTRUCCIÓN 3D
Conclusión imagenológica:
- Osteítis condensante en piezas 37 y 46.
Paráfrasis
La osteítis condensante es una lesión periapical caracterizada por un crecimiento óseo esclerótico en respuesta a infecciones pulpares crónicas, principalmente en pacientes inmunocompetentes. Esta respuesta osteoblástica localizada representa un mecanismo de defensa frente a la virulencia bacteriana, y suele ser asintomática, detectándose comúnmente como hallazgo incidental en estudios radiográficos de rutina. Se presenta con mayor frecuencia en la mandíbula, especialmente en la región molar, debido a su menor irrigación y mayor espesor cortical en comparación con el maxilar y es más frecuente en el sexo femenino (1).
Desde una perspectiva histopatológica, la osteítis condensante se asocia con inflamación crónica de bajo grado que induce fibrosis del tejido medular, reemplazo del hueso esponjoso por trabéculas densas y actividad osteoblástica predominante. Este proceso puede incluir infiltrado inflamatorio, formación ósea de novo y ocasionalmente secuestro óseo, tanto con etiología odontogénica como no odontogénica (2).
Radiográficamente, la osteítis condensante se caracteriza por una zona radiopaca de densidad similar al hueso cortical, de límites bien definidos, que refleja una respuesta esclerótica focal del hueso trabecular. Esta imagen puede presentarse como una lesión única o múltiple, con distribución unilateral o bilateral, y suele localizarse en íntima relación con raíces de dientes con caries profundas o en áreas edéntulas con antecedentes de infección crónica. Su apariencia densa y delimitada se asocia con procesos de remodelación ósea reactiva, tanto fisiológica como alterada, como consecuencia de la inflamación persistente de bajo grado (1,2).
El tratamiento se centra en la eliminación de la causa odontogénica subyacente, ya sea mediante tratamiento endodóntico o exodoncia (2).
Se recomienda una evaluación detallada de las zonas periapicales ante cualquier signo inicial de aumento de densidad ósea, incluso si es incipiente, ya que podría corresponder a una osteítis condensante en desarrollo. Asimismo, el uso de tomografía computarizada de haz cónico resulta altamente valioso, ya que permite identificar lesiones escleróticas asintomáticas que pueden pasar desapercibidas en estudios radiográficos convencionales.
Bibliografía:
- Hayek E, Maalouf E, Nassar J, AbiLamaa F, Aoun G. Idiopathic Osteosclerosis and Condensing Osteitis in a Sample of the Lebanese Population: A Digital Panoramic Based Study. Med Arch. 2023;77(5):396-399. doi: 10.5455/medarh.2023.77.396-399.
- Aljohani MH, Altamimi RS, Altamimi RS, Zaki H, Elsayed S, Abdouh I, Alshammari FR. Mandibular Condensing Osteitis (CO): Case Series with Literature Review. Bahrain Med Bull. 2024 Dec;46(4):2548–2554

Dr. Kevin Fernando Huamaní Bendezú
Maestría en Estomatología
Cirujano dentista especialista en Radiología Bucal y Maxilofacial de la Universidad Peruana Cayetano Heredia. Actualmente miembro del Staff de Radiólogos del Instituto de Diagnóstico Maxilofacial - IDM. Además, docente de Radiología Bucal y Maxilofacial en la Universidad Peruana de Ciencias Aplicadas.
Más información



