Paciente femenina de 78 años, es referido al Instituto de Diagnóstico Maxilofacial – IDM (Sede Surco) para evaluación de áreas óseas y planificación de implantes en maxilar superior.
Radiografia Panorámica

En la radiografía panorámica se observan edentulismo parcial superior e inferior, placa cervical mineralizada generalizada, dispositivo de retención protésica en pieza 35, remanentes radiculares de piezas 32, 31, 41 y 42 con obturación de conductos.
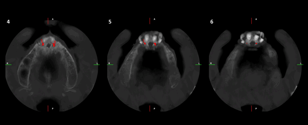
En el estudio complementario mediante tomografía computarizada de haz cónico (TCHC), se identifica la presencia del canalis sinuosus en el maxilar derecho, con trayecto que se dirige hacia la región ósea palatina correspondiente a las piezas 12 y 11. Asimismo, se evidencia un canalis sinuosus en el maxilar izquierdo, que se origina en la pared lateral de la fosa nasal izquierda y se dirige hacia la región ósea palatina y apical de las piezas 21 y 22.
Adicionalmente, se observa fractura radicular en la pieza 12, asociada a una imagen osteolítica periapical. Se identifican también fracturas radiculares con desplazamiento en las piezas 21 y 22. En la región correspondiente a la pieza 23, se evidencia un fragmento dentario sobre la cortical ósea vestibular.
CORTES AXIALES


CORTES TRANSAXIALES

CORTES CORONALES

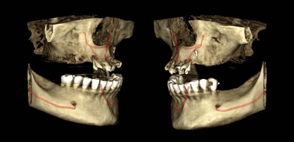
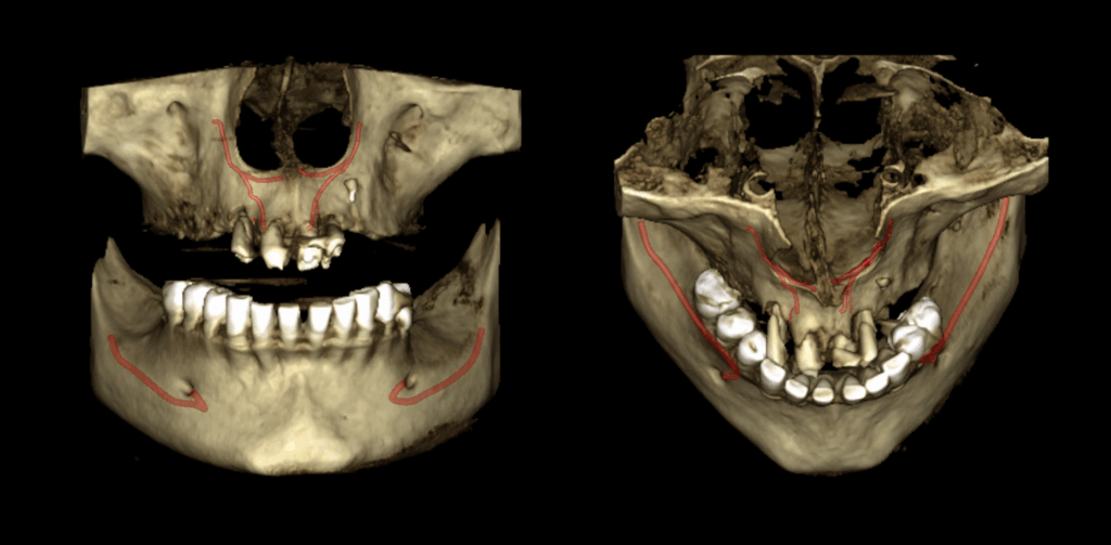
RECONSTRUCCIÓN 3D


Conclusión imagenológica:
- Canalis sinuosus (variante anatómica)
- Fractura radicular de las piezas 12,21,22.
Paráfrasis
El nervio maxilar, rama sensitiva del nervio trigémino, se divide en varias ramas, entre ellas el nervio infraorbitario, del cual emerge lateralmente una estructura anatómica conocida como canalis sinuosus (CS). Este conducto neurovascular aloja al nervio
alveolar superior anterior y se extiende desde la porción posterior del foramen infraorbitario, descendiendo por debajo de la órbita y desplazándose medialmente hacia la pared anterior del seno maxilar. En su trayecto, rodea los límites lateral e inferior de la fosa nasal hasta desembocar en la región anterior del maxilar, generalmente por delante del conducto nasopalatino. Es común encontrar variaciones anatómicas, denominadas conductos accesorios, especialmente en el paladar anterior.
Las ramas neurovasculares del CS forman el plexo dental en la región canina, proporcionando sensibilidad a los dientes anteriores, al piso de la fosa nasal y a los senos maxilares. La falta de conocimiento sobre su localización puede conllevar riesgos durante procedimientos quirúrgicos, provocando dolor, infección o parestesia (1).
El reconocimiento de estas variaciones anatómicas por parte de los clínicos es fundamental, ya que mejora el pronóstico quirúrgico y disminuye la probabilidad de complicaciones. El maxilar anterior alberga haces neurovasculares significativos, por lo
que intervenciones quirúrgicas en esta zona pueden ocasionar lesiones que resulten en hemorragias o alteraciones sensoriales como hiperestesia, parestesia o molestias persistentes. En algunos casos, estas lesiones pueden simular otras patologías,
generando confusión diagnóstica (2).
Por ello, se recomienda el uso de tomografía computarizada de haz cónico (TCHC) como herramienta diagnóstica complementaria, ya que permite una evaluación tridimensional precisa del canalis sinuosus y sus variantes. Esta información es clave para la planificación quirúrgica segura, particularmente en tratamientos implantológicos, extracciones complejas o intervenciones en la región anterior del maxilar. La identificación temprana de estas estructuras puede prevenir complicaciones postoperatorias y asegurar un abordaje clínico más conservador y eficaz.
Bibliografía:
- 1. Aoki R, Massuda M, Zenni LTV, Fernandes KS. Canalis sinuosus: anatomical variation or structure? Surg Radiol Anat. 2020 Jan;42(1):69-74. doi: 10.1007/s00276-019-02352-2.
- Devathambi TJR, Aswath N. Assessment of canalis sinuosus, rare anatomical structure using cone-beam computed tomography: A prospective study. J Clin Imaging Sci. 2024 Mar 19;14:8. doi: 10.25259/JCIS_6_2024. microdóntico. the Quintessence. 2020: 461-464.

Dr. Kevin Fernando Huamaní Bendezú
Maestría en Estomatología
Cirujano dentista especialista en Radiología Bucal y Maxilofacial de la Universidad Peruana Cayetano Heredia. Actualmente miembro del Staff de Radiólogos del Instituto de Diagnóstico Maxilofacial - IDM. Además, docente de Radiología Bucal y Maxilofacial en la Universidad Peruana de Ciencias Aplicadas.
Más información