
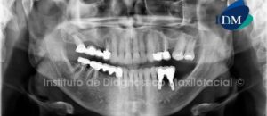
028 – Defecto de Stafne
Paciente 61 años de edad, sexo masculino, es referido a la consulta radiológica para la colocación de implantes dentales en el maxilar inferior.

Paciente 61 años de edad, sexo masculino, es referido a la consulta radiológica para la colocación de implantes dentales en el maxilar inferior.

Paciente de sexo femenino de 27 años de edad es referido al centro de Diagnóstico por presentar dolor e inflamación en zona de cuerpo mandibular derecho, manifiesta que hace ocho años le diagnosticaron cálculos en glándula sub maxilar derecha y que ha expulsado pequeñas calcificaciones hace algún tiempo.

Paciente de sexo masculino de 54 años es referido al Instituto de Diagnóstico Maxilofacial para evaluación del seno maxilar del lado derecho y evaluación de puente protésico en dicha zona.

La tomografía computarizada de haz cónico- Cone Beam CT- (CBCT) se ha convertido en una fuente cada vez más importante de evaluación tridimensional imagenológica en la ortodoncia clínica desde su introducción en la odontología.

La radiología como especialidad médica u odontológica desde sus inicios ha evolucionado de manera progresiva. Hace dos décadas las herramientas imagenológicas estándares para el diagnóstico y plan de tratamiento en nuestro campo eran las radiografías convencionales bidimensionales, destacándose la radiografía periapical y panorámica.

Paciente masculino 38 años de edad que es referido por presentar un amento de volumen de consistencia pétrea en el paladar.

Paciente masculino 72 años de edad es referido al Instituto de Diagnóstico Maxilofacial para la colocación de un implante dentario a nivel de la pieza 4.6.

Paciente femenino de 46 años de edad es referida para evaluación previa a tratamiento odontológico.

Paciente de sexo femenino 56 años de edad es referida al Instituto de Diagnóstico Maxilofacial por el especialista en el área de endodoncia para la evaluación del cuadrante III por referir molestias en dicha zona.

Paciente de sexo masculino de 36 años de edad es referido al Instituto de Diagnóstico Maxilofacial para evaluación de tratamiento de conductos de pieza 2.6, la cual presenta dolor.

Paciente de sexo masculino de 64 años de edad es referido para evaluación de pieza 3.6 por presentar dolor, el cual ha aumentado en los últimos meses; y solicitan además evaluación ósea en zona de pieza 3.7 para colocación de implante dental.

Paciente sexo femenino, 11 años de edad, acude a la consulta para evaluación previo a tratamiento odontológico. Al examen radiográfico panorámico (Fig. 1) observamos múltiples lesiones radiolúcidas que comprometen ambos maxilares.

Paciente de sexo femenino de 14 años de edad es referida al Instituto de Diagnóstico Maxilofacial para la evaluación como parte del tratamiento de ortodoncia.

Paciente de 55 años de edad es referido al centro de Diagnóstico por presentar aumento de volumen en el lado derecho de la mandíbula, el cual es asintomático. Paciente manifiesta que el crecimiento ha sido mas rápido en los últimos 2 meses.

Paciente de sexo femenino, 26 años de edad es referida al Instituto de Diagnóstico Maxilofacial para la planificación y evaluación prequirúrgica como parte del tratamiento de ortodoncia.

Paciente de sexo masculino de 54 años de edad, el cual manifiesta no presentar síntomas y es referido para la respectiva evaluación radiográfica previo al tratamiento con implantes.

Paciente de sexo femenino y de 21 años de edad es referida al Instituto de Diagnóstico Maxilofacial para la evaluación de su estado dental y periodontal.

Paciente femenino de 42 años de edad es referida al Instituto de Diagnóstico Maxilofacial para la localización de un cuerpo extraño, tras un accidente en el procedimiento del bloqueo nervioso previo al tratamiento de conductos de la pieza 4.6.

Paciente de sexo femenino y de 59 años de edad es referida al Instituto de Diagnóstico Maxilofacial para realizar el estudio de evaluación ósea para la colocación de implantes, lo cual llamo nuestra atención la presencia de un hallazgo radiográfico en el maxilar inferior.

Paciente de sexo masculino de 22 años de edad es referido al Instituto de Diagnóstico Maxilofacial para la evaluación del tratamiento de endodoncia realizado en la pieza 2.1.
© Copyright 2025