Paciente femenino de 53 años, es referido al Instituto de Diagnóstico Maxilofacial – IDM (Sede Surco) para evaluación general.
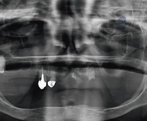
Radiografia Panorámica
 
															En la radiografía panorámica se evidencian múltiples restauraciones coronarias, así como tratamiento de conductos en la pieza 47. En la pieza 23 se aprecia una disminución de la densidad radicular en la región cervical.
En la tomografía computarizada de haz cónico se identifica en la pieza 23 una imagen isodensa que compromete las paredes radiculares mesial, distal y palatina a nivel del tercio cervical, en estrecha proximidad con el conducto radicular. Asimismo, se observa un ensanchamiento del espacio del ligamento periodontal adyacente.
CORTES AXIALES
 
															CORTES TRANSAXIALES
 
															CORTES TANGENCIALES
 
															RECONSTRUCCIÓN 3D
 
															 
															Conclusión imagenológica:
- Reabsorción cervical externa en pieza 23.
Paráfrasis
La reabsorción cervical externa se define como un estado patológico en el que los tejidos de reabsorción penetran en la dentina a nivel cervical de la raíz. Aunque en sus fases iniciales puede permanecer latente, con el tiempo puede ocasionar un daño severo en el tejido dental mineralizado e incluso comprometer la pulpa si no se realiza un diagnóstico y tratamiento oportunos. A pesar de los avances, la etiología de esta condición aún no se conoce completamente, lo que dificulta su detección temprana. En los últimos años, ha despertado creciente interés debido al aumento de casos clínicos reportados (1).
El tratamiento de la reabsorción cervical externa depende de la severidad y localización del defecto, así como de la posibilidad de restaurar el diente afectado.
Para lograr un manejo exitoso, es fundamental evaluar con precisión la verdadera extensión de la lesión. Sin embargo, las radiografías periapicales presentan limitaciones importantes, ya que con frecuencia subestiman la magnitud del daño. En este contexto, la tomografía computarizada de haz cónico ha demostrado ser una herramienta fundamental, ya que permite una visualización tridimensional de la lesión, brinda información más exacta sobre su naturaleza y facilita la comunicación con el paciente acerca del pronóstico y las alternativas terapéuticas, evitando exploraciones
innecesarias (2).
Se ha descrito que la reabsorción cervical externa suele presentar uno o más puntos de entrada que se expanden tridimensionalmente en el defecto de reabsorción. Los
puntos de entrada supraóseos suelen originar lesiones en forma de cráter, compuestas principalmente por tejido fibrovascular, cuyo tratamiento suele realizarse mediante un abordaje externo. En casos donde la lesión ha perforado o existe el riesgo de perforación del sistema de conductos radiculares, puede ser necesario complementar
con tratamiento endodóntico (2).
Por otro lado, cuando los puntos de entrada son pequeños e inaccesibles, pueden extenderse de manera circunferencial y apicocoronaria alrededor del espacio del
conducto radicular. En estas situaciones, la mejor alternativa terapéutica consiste en un abordaje interno, es decir, mediante tratamiento endodóntico y restauración
ortógrada del defecto (2).
En este escenario, la tomografía computarizada de haz cónico cobra un rol esencial, no solo porque permite determinar con precisión la extensión y localización de la
lesión, sino también porque facilita la planificación terapéutica. La participación activa del radiólogo bucal y maxilofacial es clave, ya que su interpretación contribuye a un diagnóstico temprano, a la elección de la estrategia de tratamiento más adecuada y a la prevención de complicaciones asociadas a este hallazgo.
Bibliografía:
- Chen Y, Huang Y, Deng X. External cervical resorption-a review of pathogenesis and potential predisposing factors. Int J Oral Sci. 2021 Jun 10;13(1):19. doi: 10.1038/s41368-021-00121-9
- Patel S, Foschi F, Condon R, Pimentel T, Bhuva B. External cervical resorption: part 2 – management. Int Endod J. 2018 Nov;51(11):1224-1238. doi: 10.1111/iej.12946

Dr. Kevin Fernando Huamaní Bendezú
Maestría en Estomatología
Cirujano dentista especialista en Radiología Bucal y Maxilofacial de la Universidad Peruana Cayetano Heredia. Actualmente miembro del Staff de Radiólogos del Instituto de Diagnóstico Maxilofacial - IDM. Además, docente de Radiología Bucal y Maxilofacial en la Universidad Peruana de Ciencias Aplicadas.
Más información
 
				 
								 
								 
								 
								 
															



